Часть №1 из 2х.
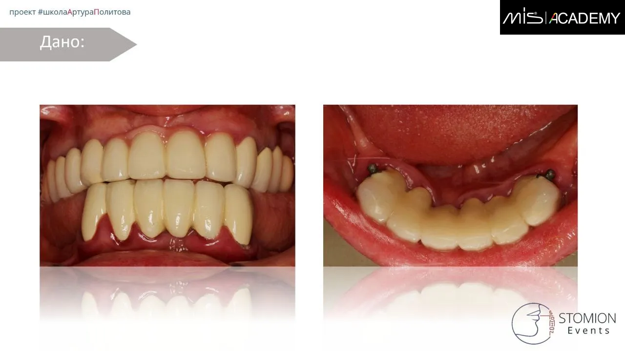
Пациентка на тотальную реконструкцию зубных рядов. В этот пост помещу НЧ, в следующий ВЧ.
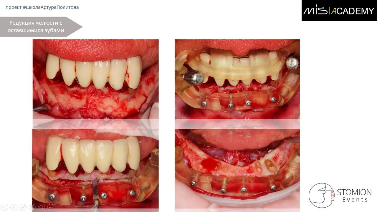
Первая операция проводилась на НЧ:
— Навигационное планирование, многокомпонентный шаблон с базой фиксированной накостно винтами Конмет.
— Редукция сразу с оставшимися зубами, выколупливание апексов.
— Имплантаты MIS C1 в позициях 2-4-6.
— 4.4 восстановлен костный контур методом морковки Кури. И пересажен СТТ пончо.
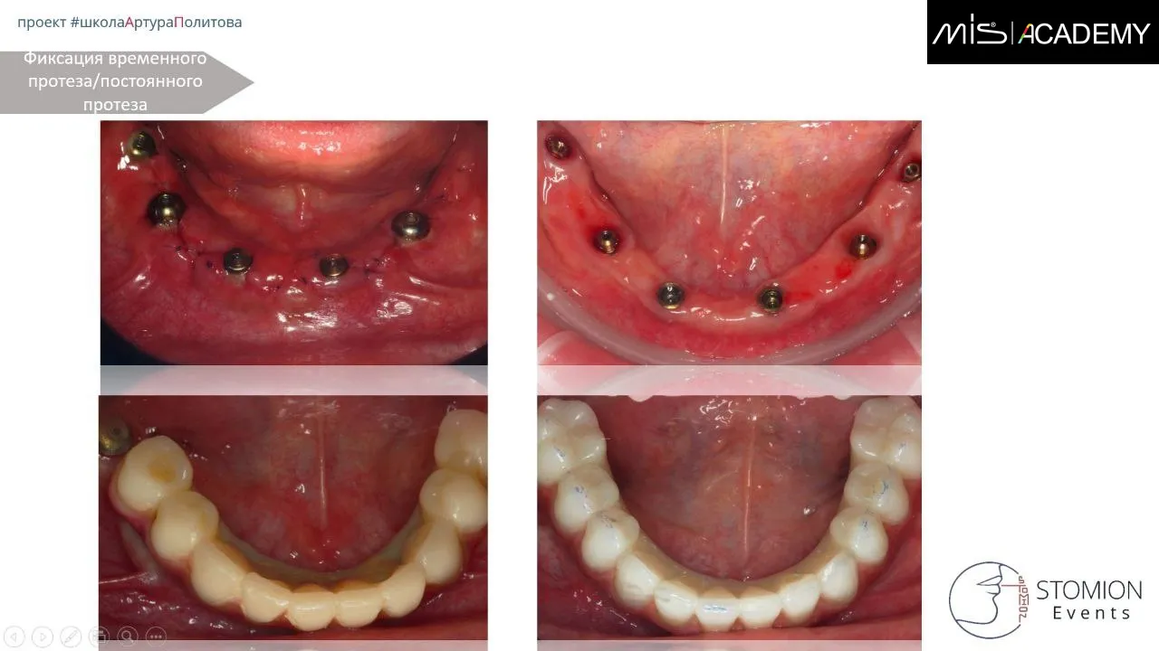
— Швы. Оттиски. Через три дня нагрузка.
— Через 4 месяца коррекция мягких тканей.
— Далее с 6-го месяца изготовление постоянной конструкции FP-3, диоксид циркония с нанесением, с фрезерованным, анодированным титановым каркасом с уровня мультиюнитов и коннектов.










