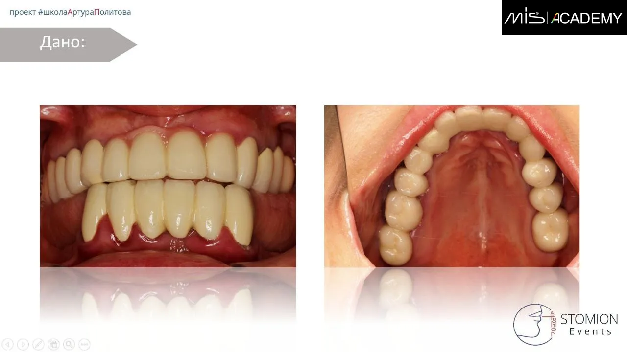
Тотальная реконструкция зубных рядов на верхней челюсти и нижней челюсти
Часть 2 из 2х ( первая часть по ссылке: https://misacademy.ru/artur-politov-ap-74/ )
— Оставили 4 зуба для опоры НХШ.
— Отслойка полнослойного вестибулярного лоскута, позиционирование на зубы НХШ, вестибулярно — накостная фиксация, небно — пины для стабилизации шаблона трансмукозно.
— Установка имплантатов MiS C1 в позициях 6-4-2-1-4-6.
— 1.6, 1.4, 2.4 — угловые МЮ,
— 1.2, 2.1 — коннекты,
— 2.6 — прямой МЮ.
— Колено угловых МЮ ориентированы либо строго по дуге, либо нёбно.
При установке получилась вестибулопозиция имплантата 1.2, уже не помню причину, думаю смещение за счёт нёбной стенки, помню, что принято решение не менять позицию, конструкция будет под винт изибэйс для винтовой фиксации.
- Проведена контурная пластика методом «Морковки» Кури.
- Лунки зубов заполнены Bio-Oss S, всё перекрыто А-PRF.
- Установлены ФДМ, рана ушита.
- Пациент передан ортопеду для ранней нагрузки.
- Через 5 дней нагрузка фрезерованной конструкцией.
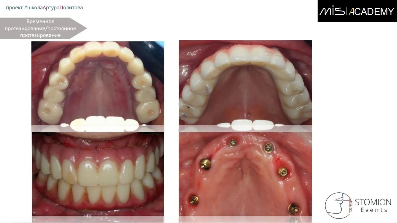
С 6-го месяца изготовление постоянной конструкции FP-3, диоксид циркония с нанесением, с фрезерованным, анодированным титановым каркасом с уровня мультиюнитов и коннектов.

