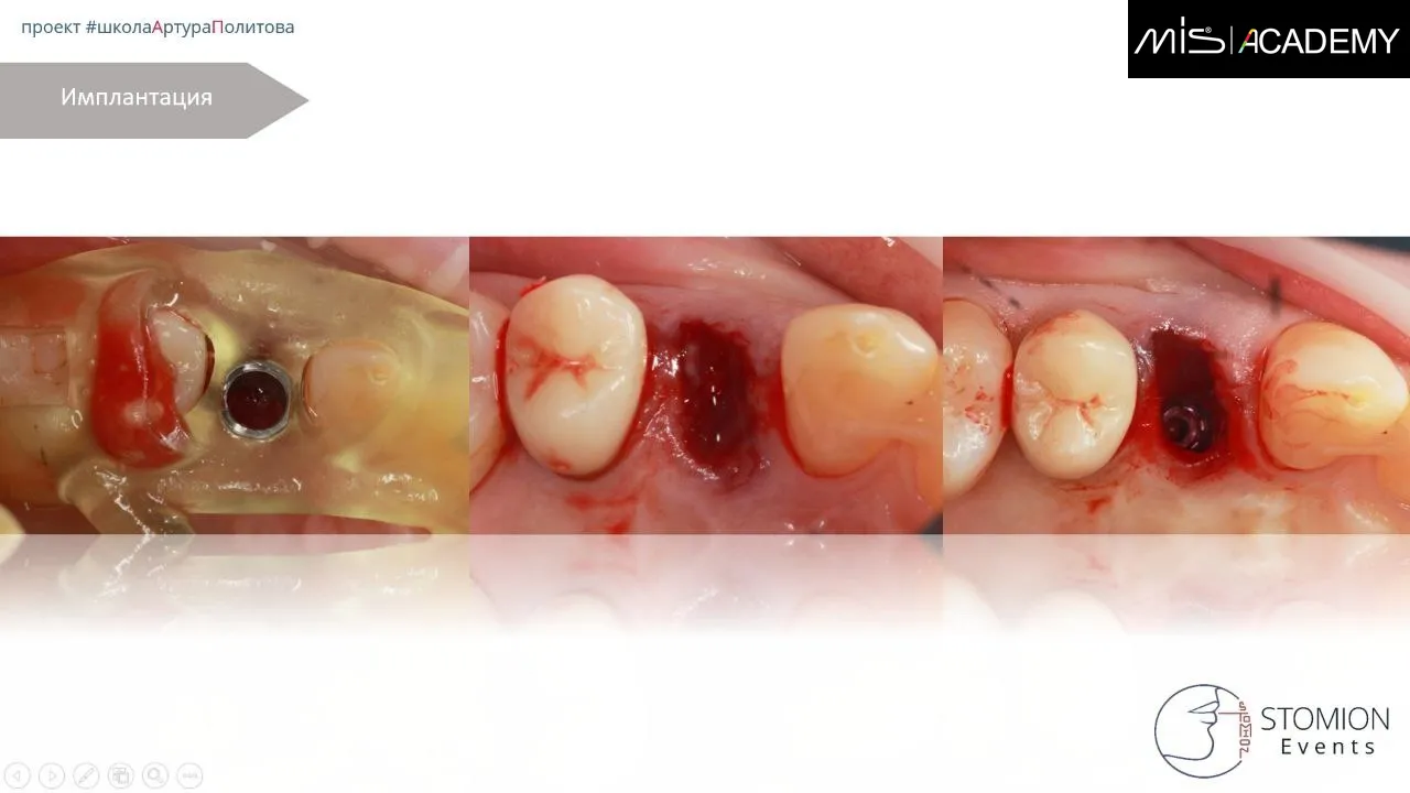
Одномоментная имплантация
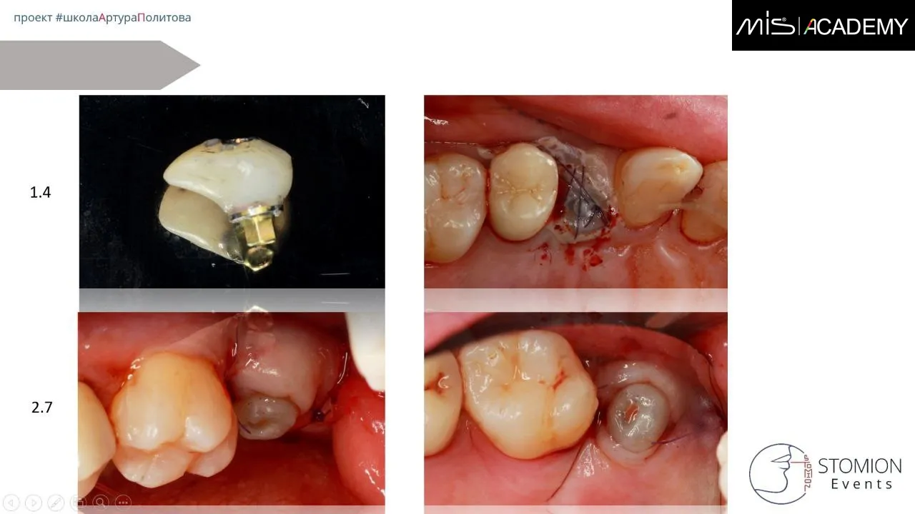
- Удаление 1.4.
- Формирование гомогенного кровяного сгустка.
- Одномоментная имплантация в нёбный корень MIS C1 3,75×11,5.
- СТТ с бугра вестибулярно.
- Коннект абатмент, индивидуальный ФДМ для создание клапана и первичного заживления.
- Швы, БФ-6.
— Через 14 дней установка временной коронки.
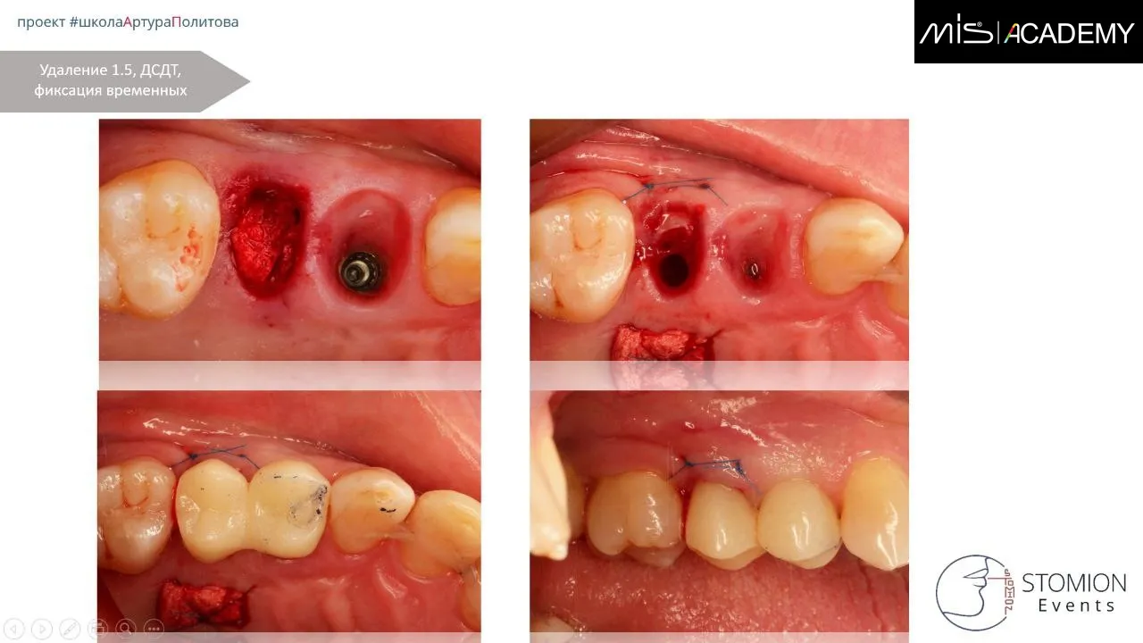
— Через 3 месяца удаление 1.5, сгусток, колапол, ДСДТ вестибулярно, замена временной коронки 1.4 на коронку с консолью на 1.5.
— Через 12 дней снятие швов.
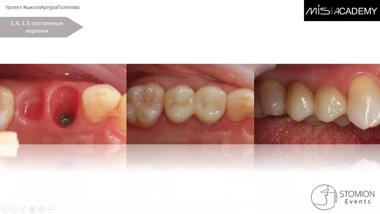
— Через 6 месяцев изготовление постоянной консольной конструкции.
Решение в сторону выбора консольной конструкции продиктовано несколькими факторами:
— малоинвазивность.
— без синуса 1.5 не установить, — 1.6 пародонтологически скомпрометирован.
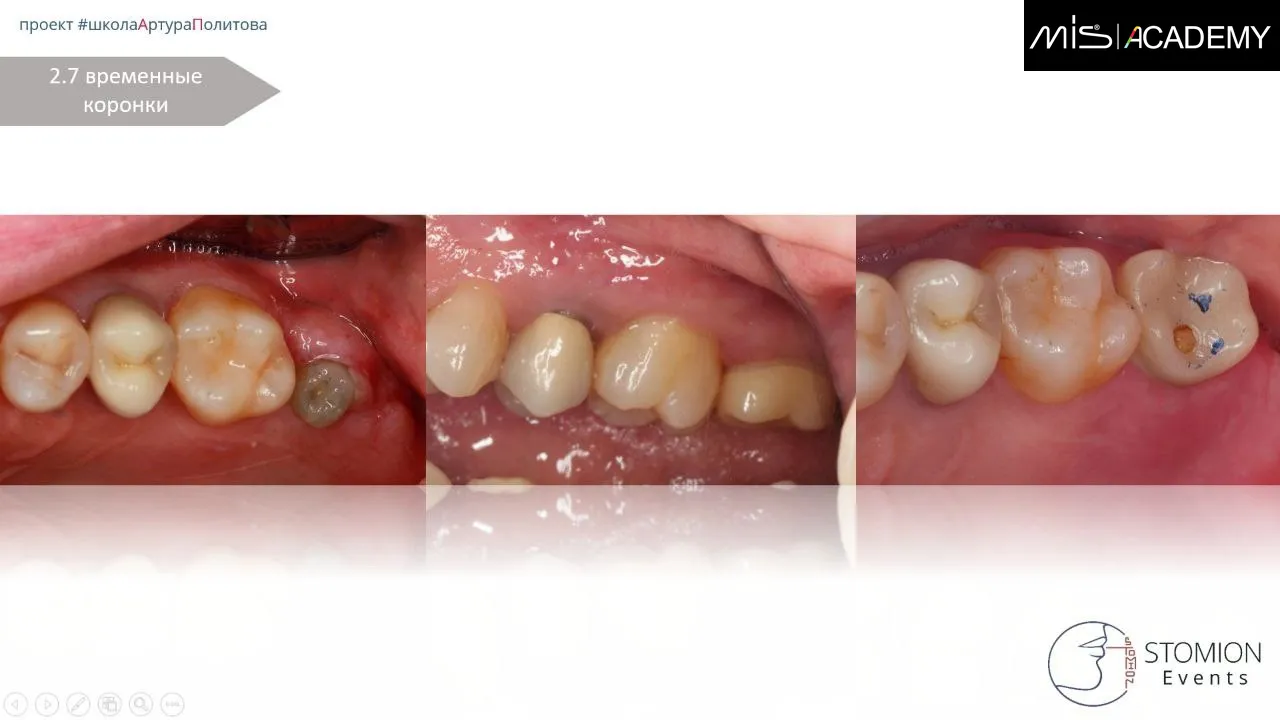
Параллельно установлен имплантат MIS C1 5×8 в позиции 2.7.
С уровня имплантата выполнена реставрация с цементной фиксацией на индивидуальном абатменте.

