Клинический случай: Пациентка: женщина, 45 лет.
Анамнез: ранее проведена имплантация в позиции 1.7 (имплантат Osstem Ø5,0 мм) с последующим протезированием.
Жалобы:
— Подвижность ортопедической конструкции в области зуба 1.7, дискомфорт.
Диагностика
• КЛКТ: выраженная резорбция костной ткани вокруг имплантата.
• Во время демонтажа выявлен перелом имплантата.
Вывод: разрушение имплантата связано с производителем, перегрузка в следствии бруксизма.
План лечения (этап 1)
• Удаление фрагментов имплантата.
• Активный кюретаж дефекта.
• Одномоментная установка имплантата MiS C1.
• Заполнение дефекта аутотрансплантатом из бугра верхней челюсти.
• Применение ИФДМ
Дальнейшее наблюдение
— Через 4 месяца на контрольном КЛКТ выявлены признаки резорбции костной ткани вокруг вновь установленного имплантата.
— Повторный анализ ситуации выявил истинную причину: хронический периодонтит зуба 1.6, который привел к резорбции тканей и поломке предыдущего имплантата.
— Пациентке предложено эндодонтическое перелечивание зуба 1.6, от которого она отказалась.
— Принято решение удалить 1.6 и имплантат в позиции 1.7.
План лечения (этап 2)
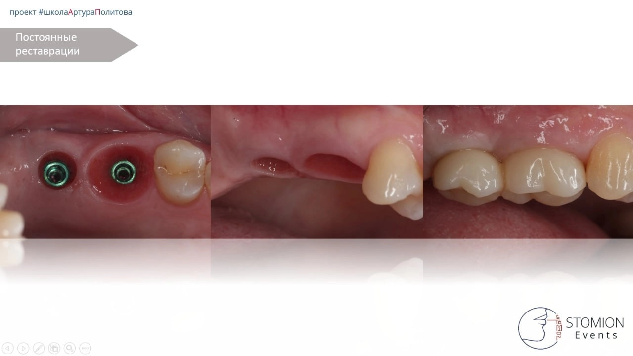
— Через 3 месяца проведена имплантация в области 1.6 и 1.7.
— Установлена временная конструкция с уровня мультиюнита.
Однако через 3 месяца выявлено отсутствие остеоинтеграции имплантата в позиции 1.7. Проведено удаление и повторная установка по тому же шаблону.
Результаты
— Через 3 месяца отмечена стабильная интеграция имплантатов в обеих позициях. Изготовлена постоянная ортопедическая конструкция.
Заключение
Данный случай подчёркивает важность:
1. Полного анализа клинической ситуации до начала лечения.
2. Тщательной диагностики соседних зубов и учета их состояния.
3. Смирения и готовности пересматривать первоначальные выводы.
Благодаря доверию пациентки и последовательному подходу удалось завершить лечение с достойным результатом, несмотря на ряд осложнений. Помните, вы не одиноки в косяках 😉
#mis #misC1 #АртурПолитов

