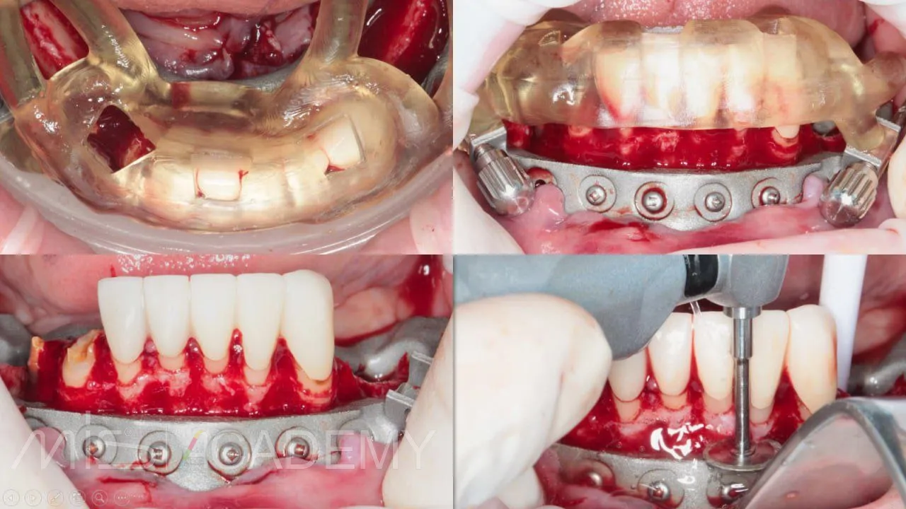
— НЧ Multifix на 4 MIS C1,
— Фронт — коннекты.
— Дистально — угловые МЮ 30.
— Разборный шаблон с накостной опорой.
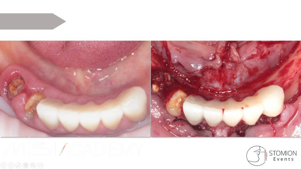
— Редукция, имплантация, ДСДТ с нёба вестибулярно и орально.
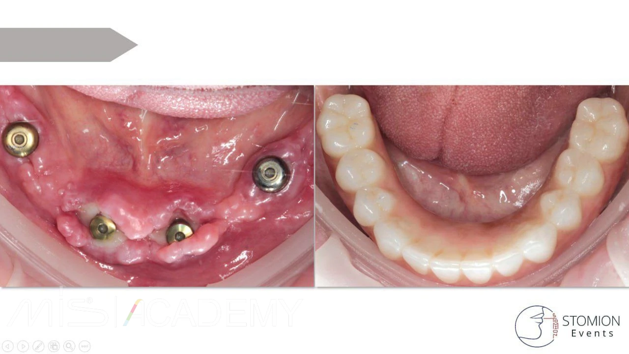
— Нагрузка через 7 дней.
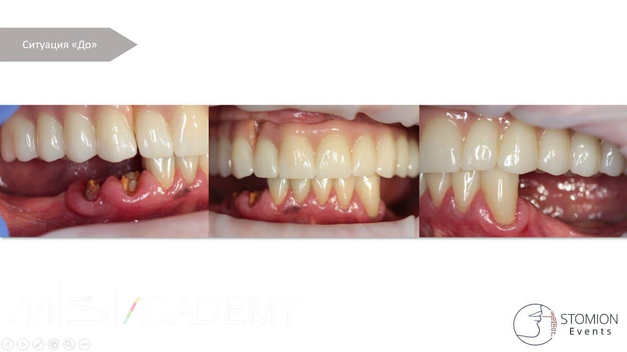
P/S Пациентка реферальная, фото ортопедии присланы (какие есть).
#mis #misC1 #mu #total #connect #дсдт #muttifix #АртурПолитов










