Тотальная реабилитация, одномоментная имплантация + установка 6 имплантатов
1. Планировка в программе Realguide, изготовлены хирургические шаблоны: первый- для проведения разреза небно от имплантатов, чтобы получить больше объем слизистой вестибулярно с последующим изготовлением протеза FP1 второй — накостный шаблон для установки имплантов.
2. По первому шаблону произведен разрез, удалены зубы
3. Фиксирован накостный шаблон, установлены 6 имплантатов C1, 4 прямых MU и 2 connect abatment.
4. Примерка протеза для нагрузки (заживляющая балка). Протез фиксируется на небную лапку и пин с вестибулярной стороны.
5. Редукция кости для получения овойды по протезу (2мм от протеза).
6. Фиксация протеза.
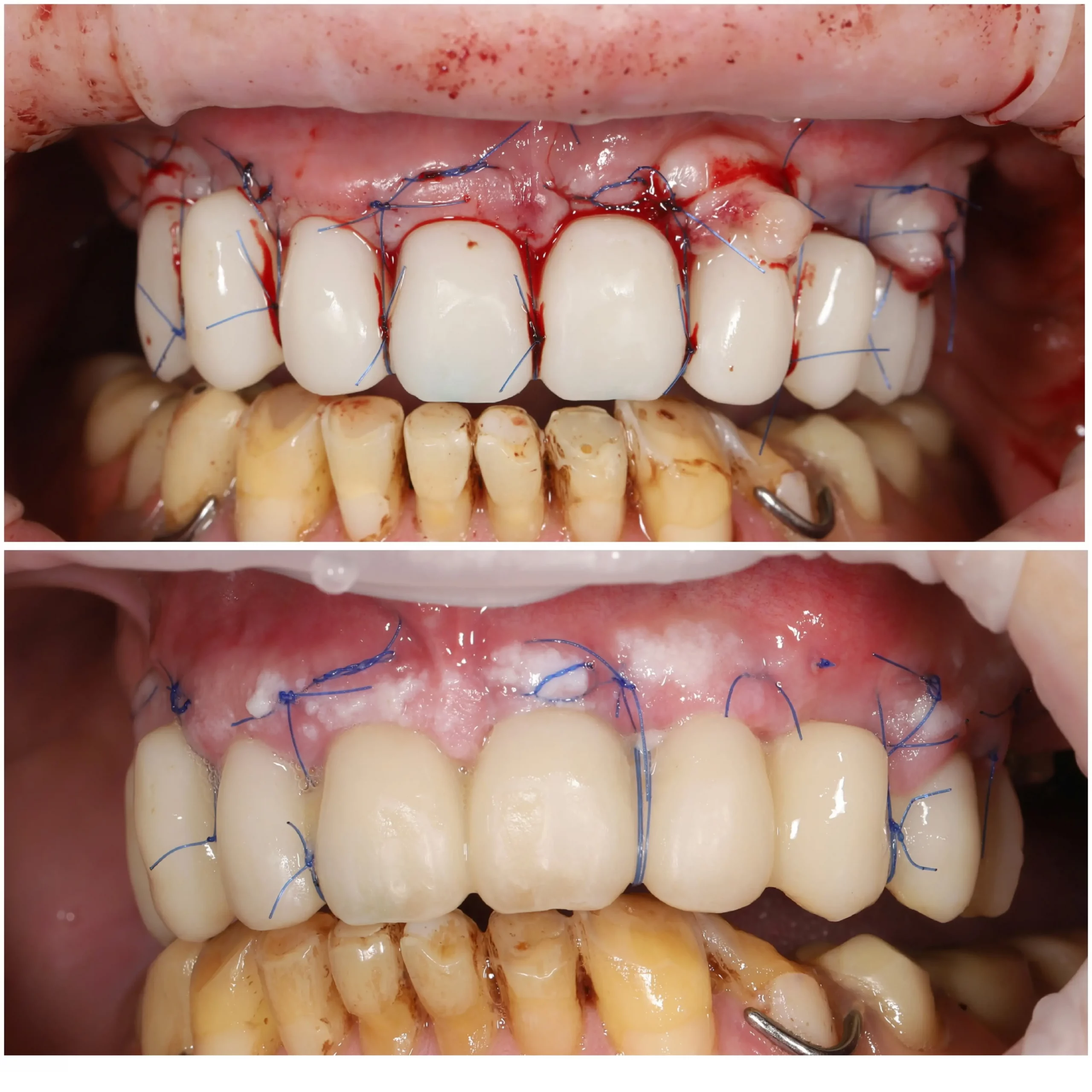
7. Двойной обвивной шов для фиксации лоскута к протезу
8. Вид через 10 дней, снятие швов.
9. Снятие оттисков для изготовления второго временного протеза.

