Тотальная реабилитация на верхней челюсти
Планирование и техническая часть: Игорь Лёвушкин
Ортопед: Алексей Калашников
В подобных случаях мы планируем накостные, либо гибридные шаблоны и преимущественно из металла.
Провели:
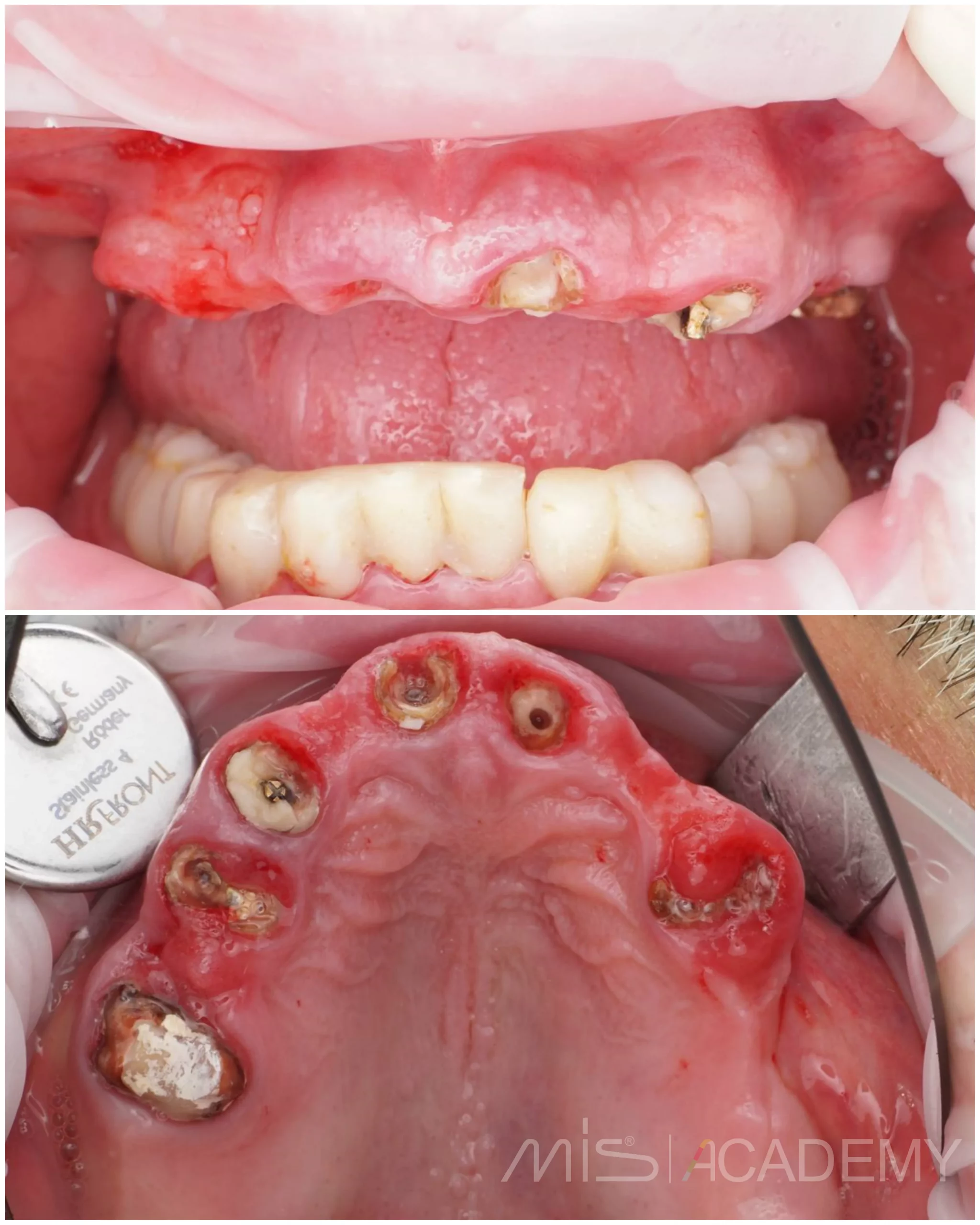
— Удаление всех несостоятельных зубов на верхней челюсти.
— Установлены имплантаты Mis C1 и два открытых синус лифтинга в дистальных отделах.
— Коннект абатменты и угловые МЮ.
— Проведено B2S в области дефекта костной ткани 1.1.
— Мягкотканная пластика.
— Балка, сварка, временный протез.
— Швы.
— Осмотр и снятие швов через 2 недели.
P/S Ждём 6 месяцев и продолжаем!

