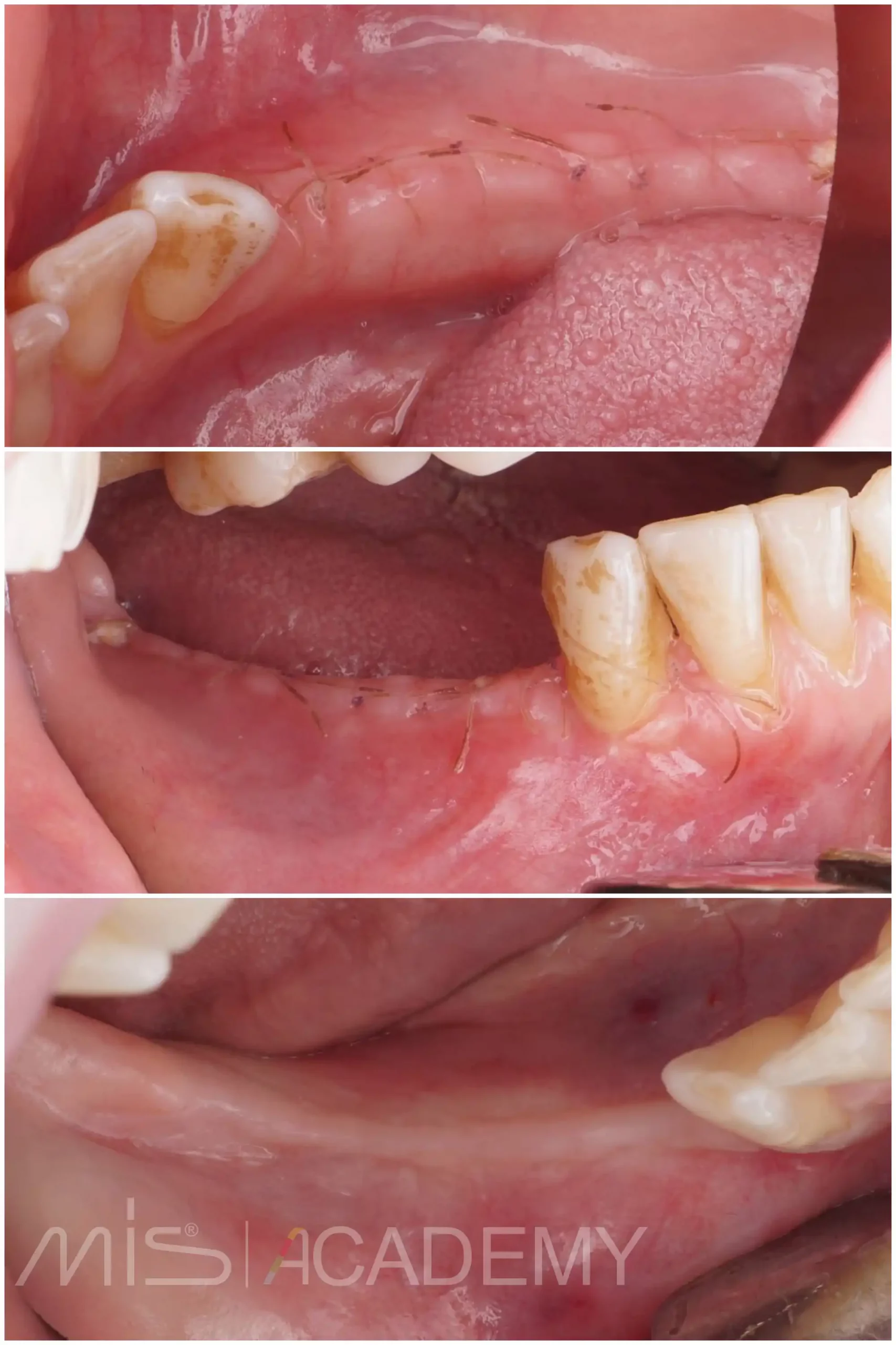
Восстановление дефекта на нижней челюсти:
— Gen-os.
— Ауто и ксено Lamina curved, которая была зафиксирована надкостничными швами.
— Раскрытие через 6 месяцев. Ламина до конца не резорбировалась, аккуратно без проблем удаляем, под ней был миллиметровый фиброз, под которым плотный фундамент. Фиброз не удаляю, чуть отодвигаю в зоне где будет имплантация, дою дозреть и использую его для фиксации ССТ с бугра.
— Снятие швов через 2 недели.
Продолжение следует …
#mis #misC1 #connect #сст #РенатРизванов









