Интересный клинический случай с восстановлением костной ткани язычно в области зуба 4.1.
5 месяцев назад пациентка обратилась с жалобами на боль при накусывании на 4.1 зуб и отёк с язычной стороны.
Проведено:
— Удаление зуба 4.1 по причине трещины корня, кюретаж лунки;
— Установка имплантата MIS C1 диаметром 3,3;
— CONNECT абатмент высотой 3,0;
— Пластика десны с обеих сторон;
— Bio-oss, стимул-осс,
— Временная коронка.
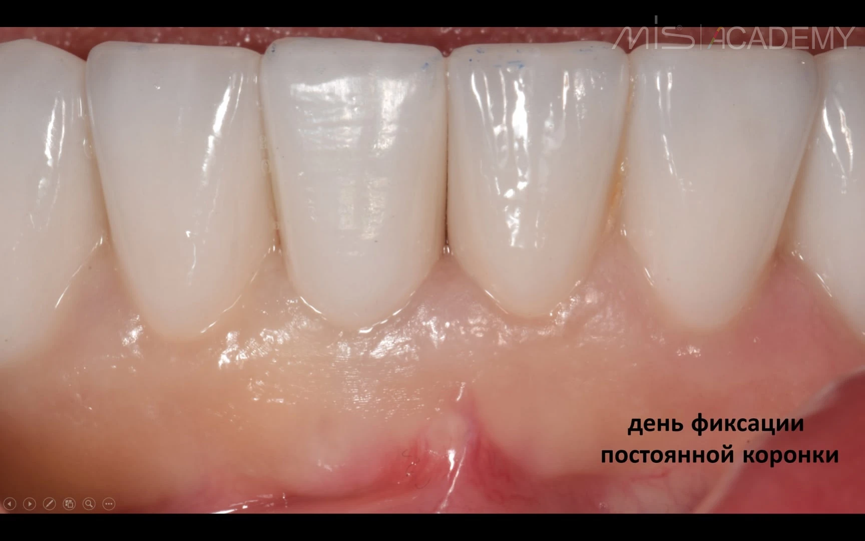
Результат через 5 месяцев — полное восстановление язычной стенки альвеолярного отростка. Замена временной коронки на постоянную циркониевую с полированной поддесневой частью.
Ортопедия: Мысник Максим.
#mis #misC1 #biooss #connect #ТатьянаКовалева

