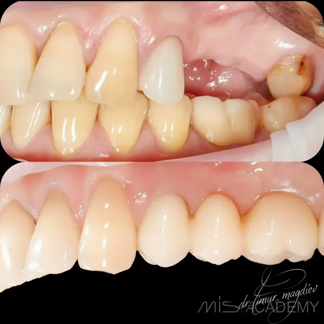
Одномоментная имплантация
— Одномоментная имплантация 24.
— Закрытый синус лифт 26.
— Расщепленный лоскут вестибулярно, пластика мягких тканей соединительно тканным трансплантатом с бугра.
— Протезирование: Сергей Белобородцев.

— Одномоментная имплантация 24.
— Закрытый синус лифт 26.
— Расщепленный лоскут вестибулярно, пластика мягких тканей соединительно тканным трансплантатом с бугра.
— Протезирование: Сергей Белобородцев.

Поделиться | Обсудить