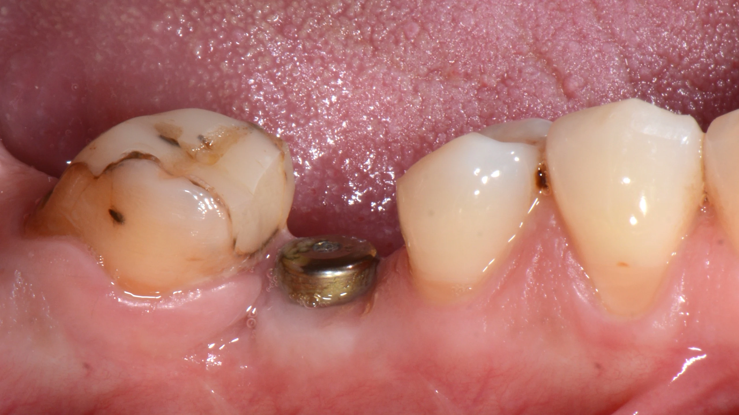
В данном кейсе не стали прибегать к ортодонтическому лечению, а просто установили имплантат MIS С1
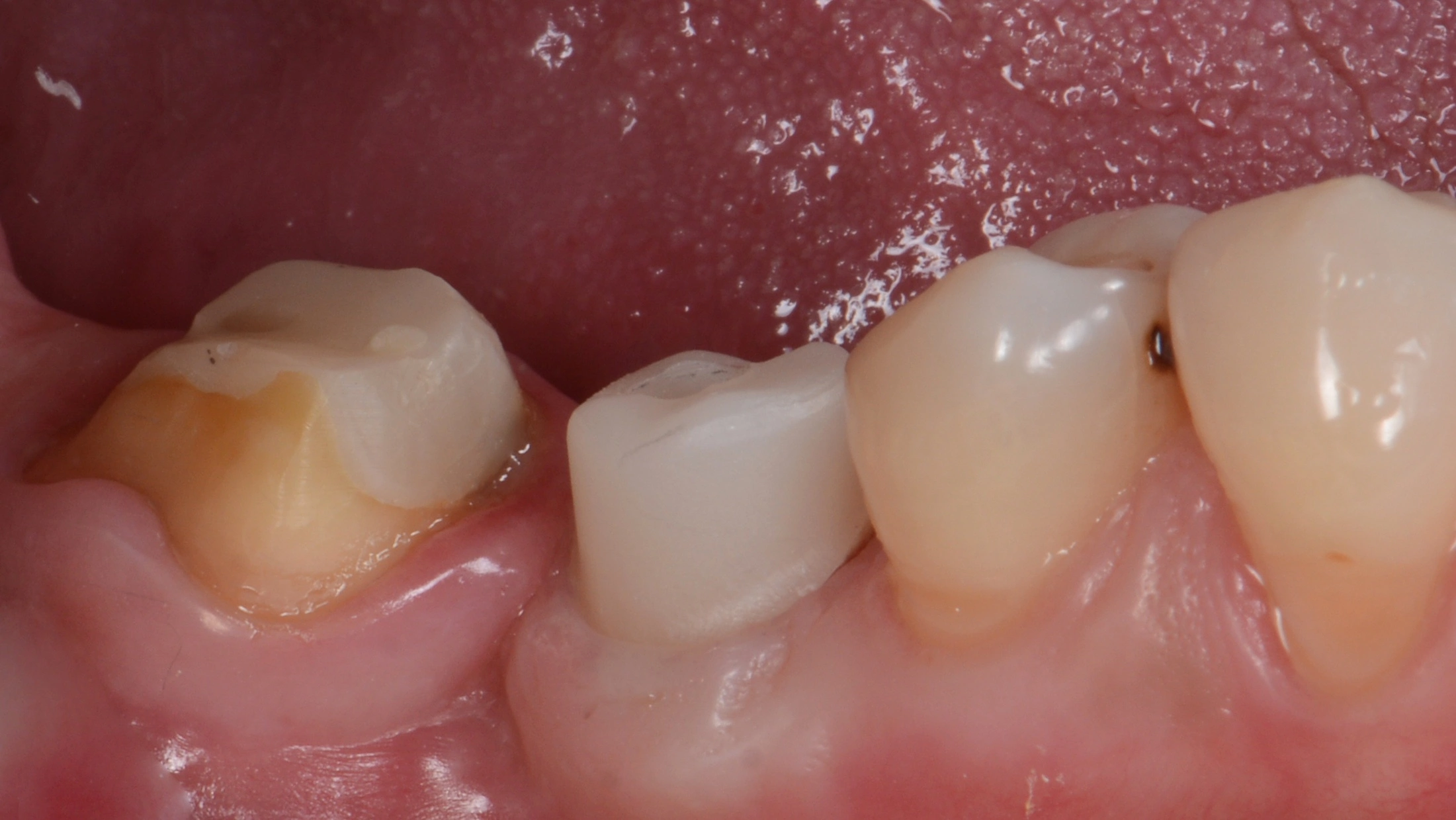
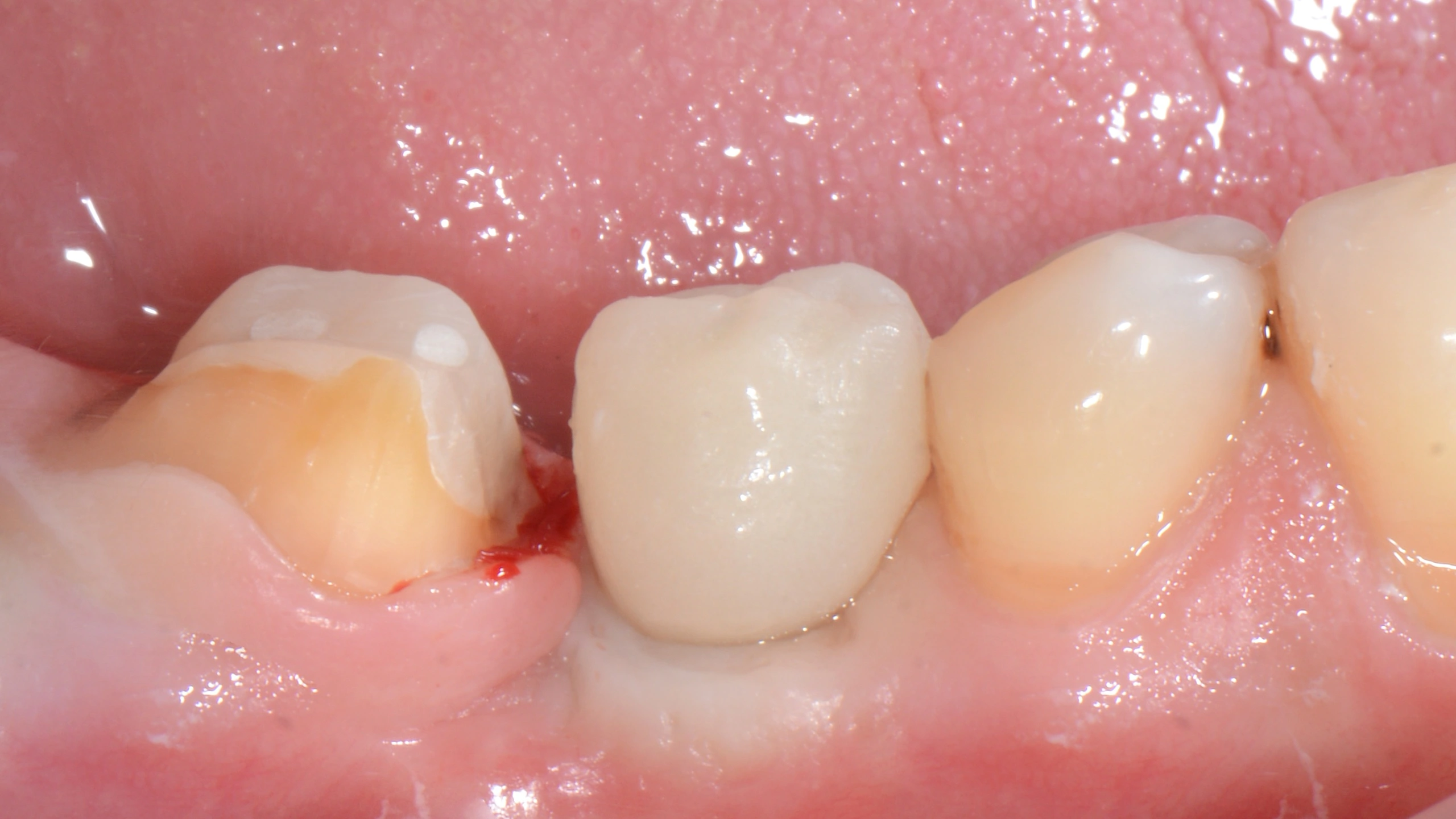
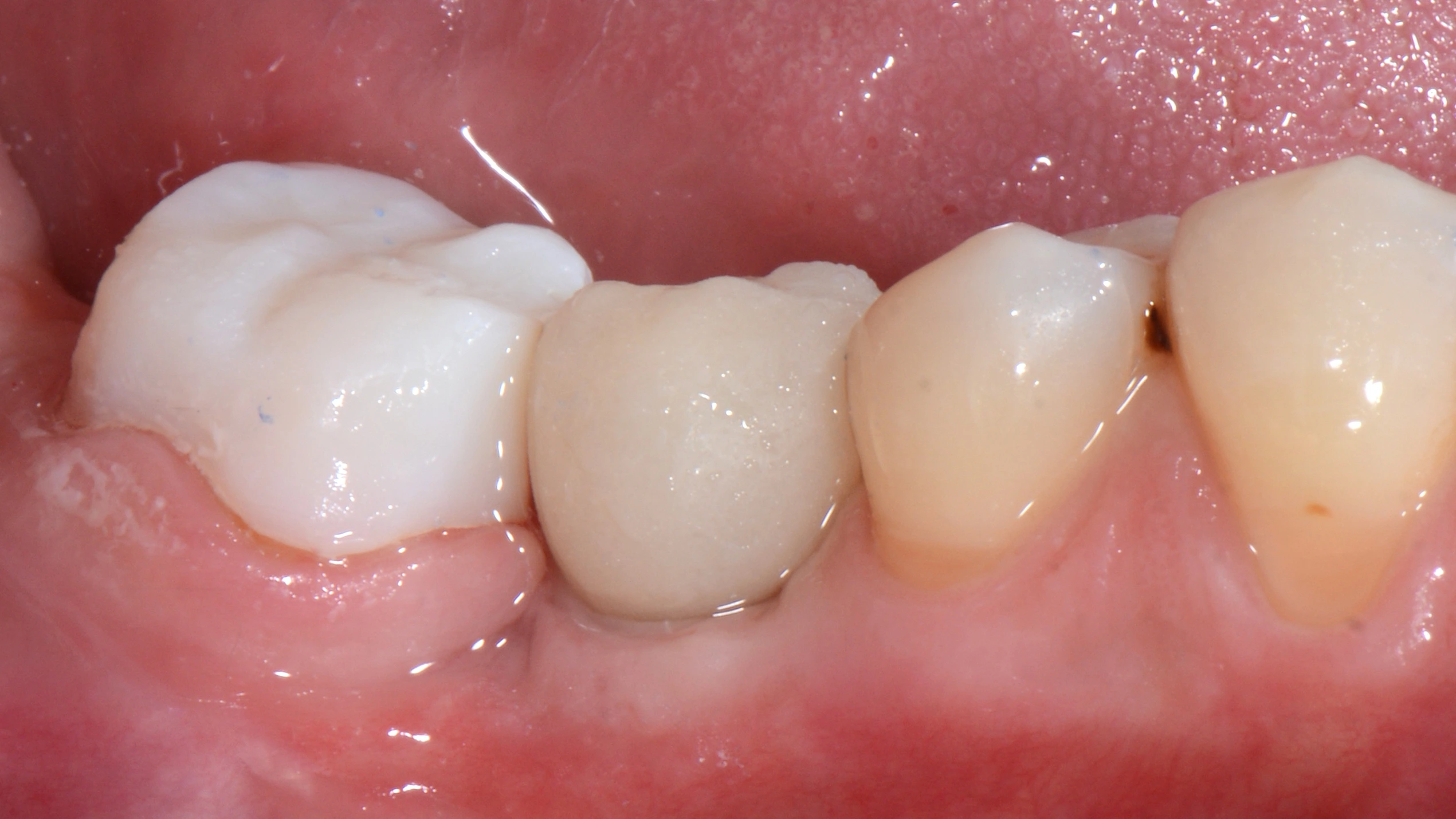
Далее провизорное протезирование с препарированием зуба 47, и после формирования профиля постоянное протеизрование коронками на цементной фиксации на имплантате и на зубе. Зачастую, не всегда вижу необходимость в апрайте семерок, особенно, если в дальнейшем их еще и требуется покрыть коронкой.

