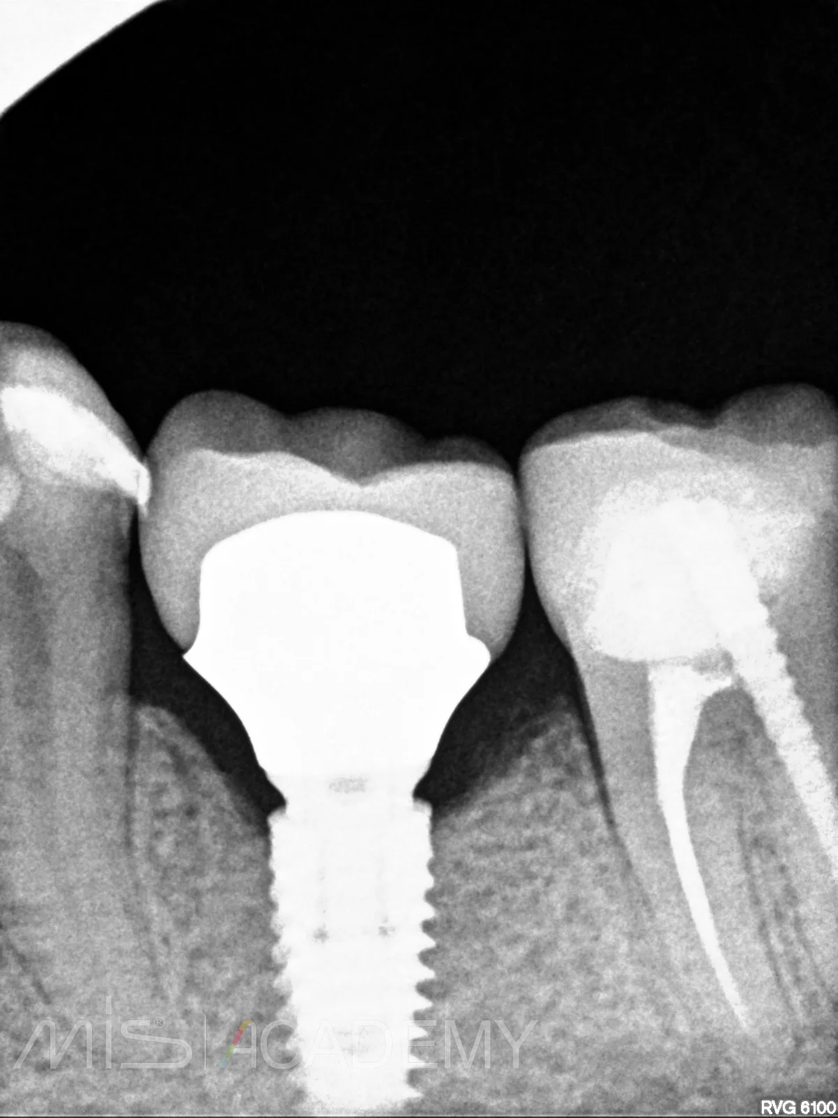
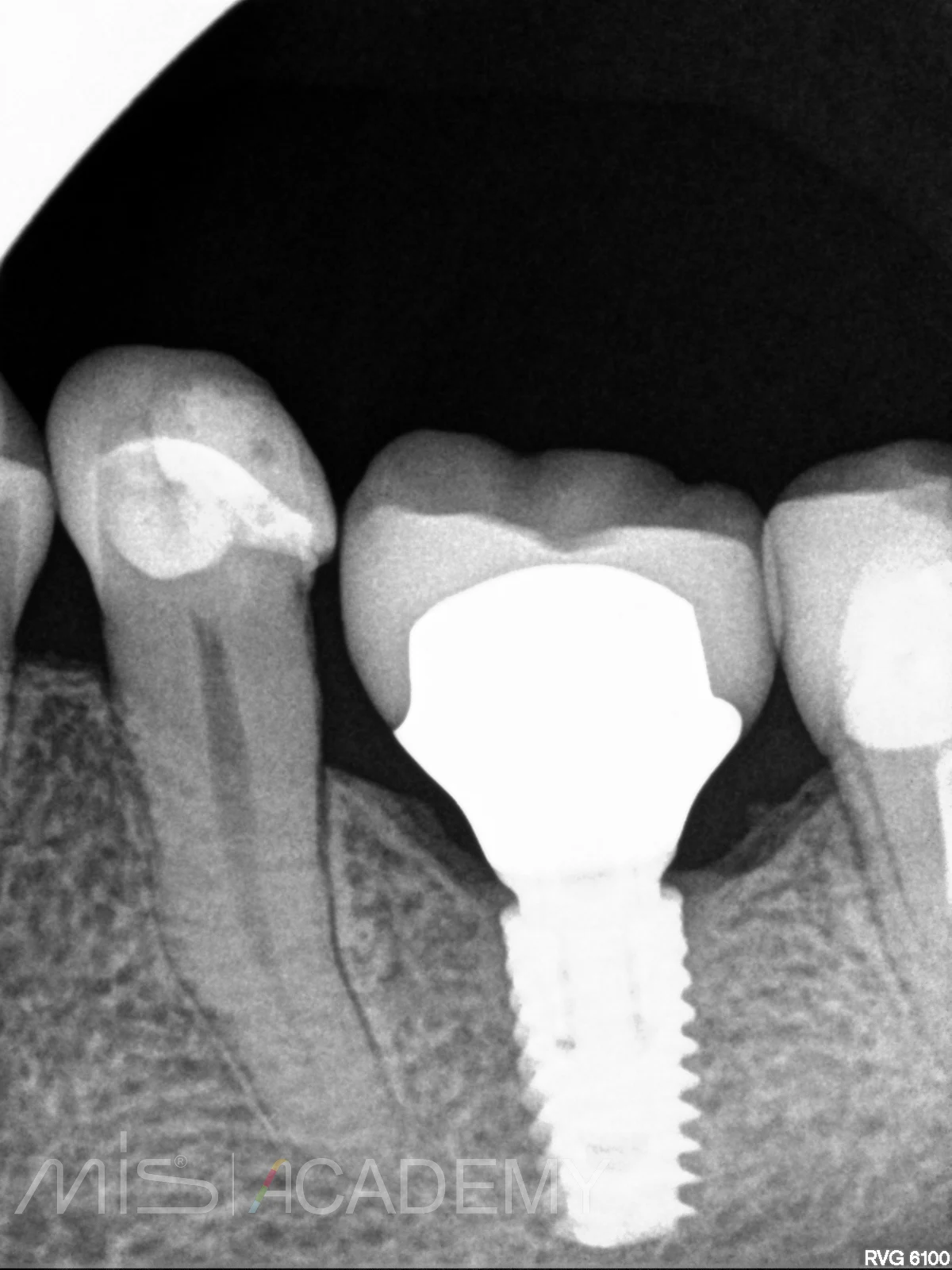
Стандартная работа в области нижней шестерки слева:
— Проведена установка имплантата МИС С1 с одномоментной аугментацией ССТ и установкой формирователя десны.
— Далее провизорное протезирование и постоянная конструкция на цементной фиксации коронки из дисиликата лития на гибридном абатменте.
— Дистальный моляр тоже покрыли коронкой из дисиликата лития, а вот премоляр пациентка отказалась (На рг снимках ситуация после фиксации и через 2 года. Вроде как даже кортикализация произошла.
#mis #misC1 #сст #ВасилийБочаров










