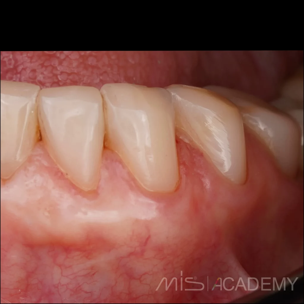
Закрытие рецессии.
— CAF метод.
— Снятие композита с цемента корня.
— Кюретаж, PrefGel.
— Фиксация трансплантата, корональное смещение лоскута.

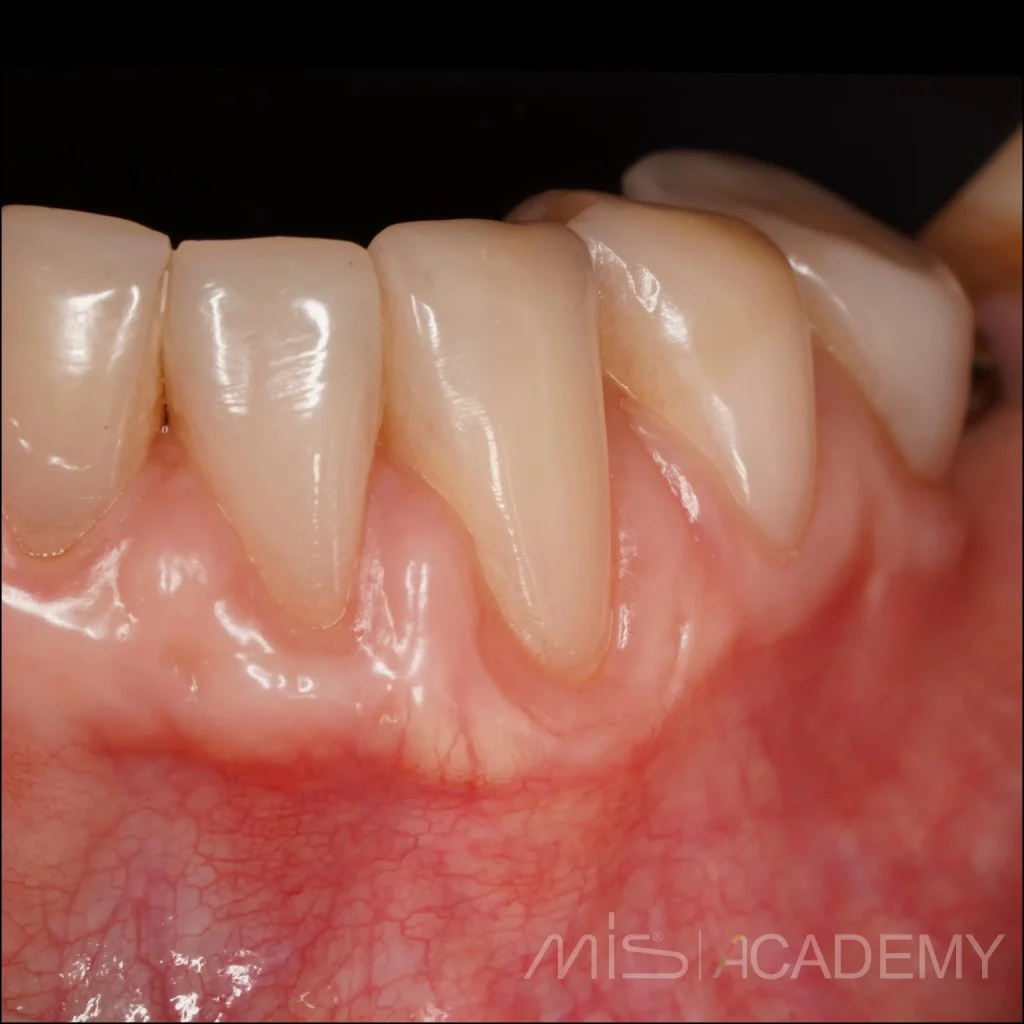
— CAF метод.
— Снятие композита с цемента корня.
— Кюретаж, PrefGel.
— Фиксация трансплантата, корональное смещение лоскута.

Поделиться | Обсудить