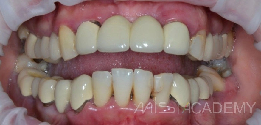
Клинический случай НКР верх фронт и последующие АО4 верх-низ.
На сегодняшний день возможно реализовал бы всё без НКР и возможно даже в FP1 (или аутоламинами, сократили бы сроки), но есть моменты по мягким тканям + вернусь ещё на устранение рецессии в области MU 24.
Пациенту спасибо за терпение.
Ортопедия: Кирилл Демидов.

