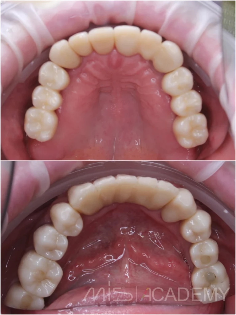
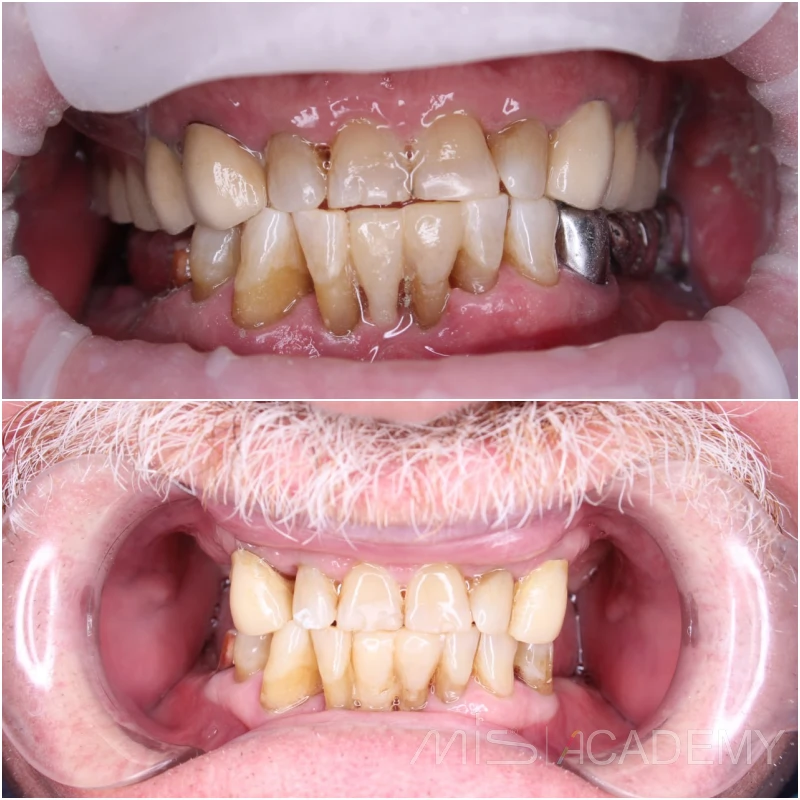
Тотальная реабилитация пациента с применением имплантатов MIS Seven XD.
Пациент В. 77 лет обратился за стоматологической помощью. Частичная вторичная адентия, хронический пародонтит, периодонтиты. Отягощающий фактор — пациент врач.
— Выполнена функциональная диагностика.
— Удаление несостоятельных зубов.
— Имплантация MIS Seven XD.
— Протезирование зубов и имплантатов циркониевыми коронками с керамической облицовкой.
Хирург и ортопед: Касперович М.Л.
Техник: Соколай Артём.

