Артур Политов г. Ставрополь.
ЧАСТЬ 3 из 3
часть 1: vk.com/misimplants?w=wall-1…
часть 2: vk.com/misimplants?w=wall-1…
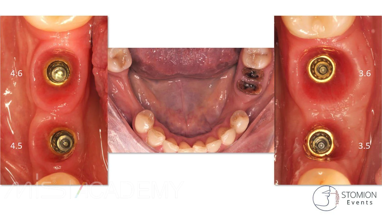
На этапе после интеграции имплантатов на нижней челюсти и созревания мягких тканей вокруг ФДМ установлены временные коронки и проведено удаление 6.3 с одномоментной имплантацией MiS C1, 3,3×13 + коннект 3мм + временная коронка изготовленная до установки имплантата. Фиксированная по позиционеру, без антиротационного компонента.
На этом этапе ортодонт зафиксировался к временным коронка и продолжила лечение, после остановки на период аугментации и остеоинтеграции на НЧ.
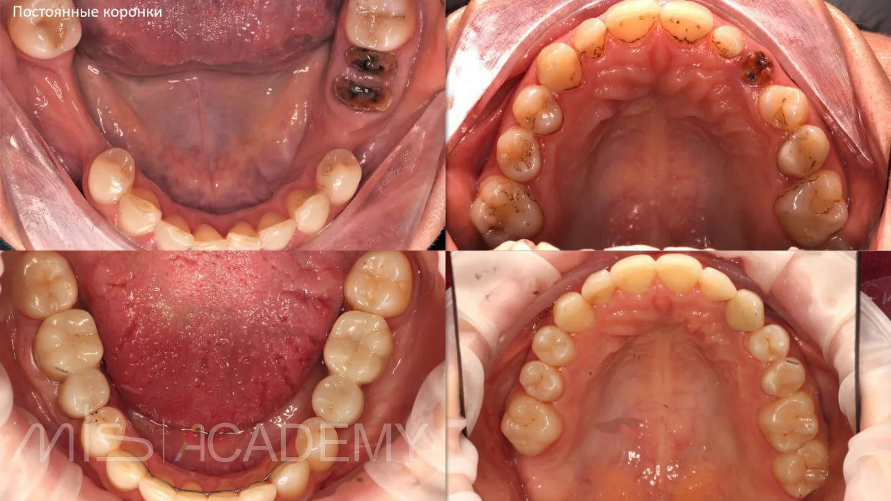
По завершению ортодонтии провели постоянное протезирование во II, III и IV квадрантах.
Команда:
Навигация STOMION STL — Гасанов Муслим
Конструкция STOMION STL — Гаспарян Александр
Ортопед STOMION Клиника — Козлова Ирина
Ортодонт (направивший врач) — Алмазова Виолетта
#mis #misC1 #connect #фдм #АртурПолитов










