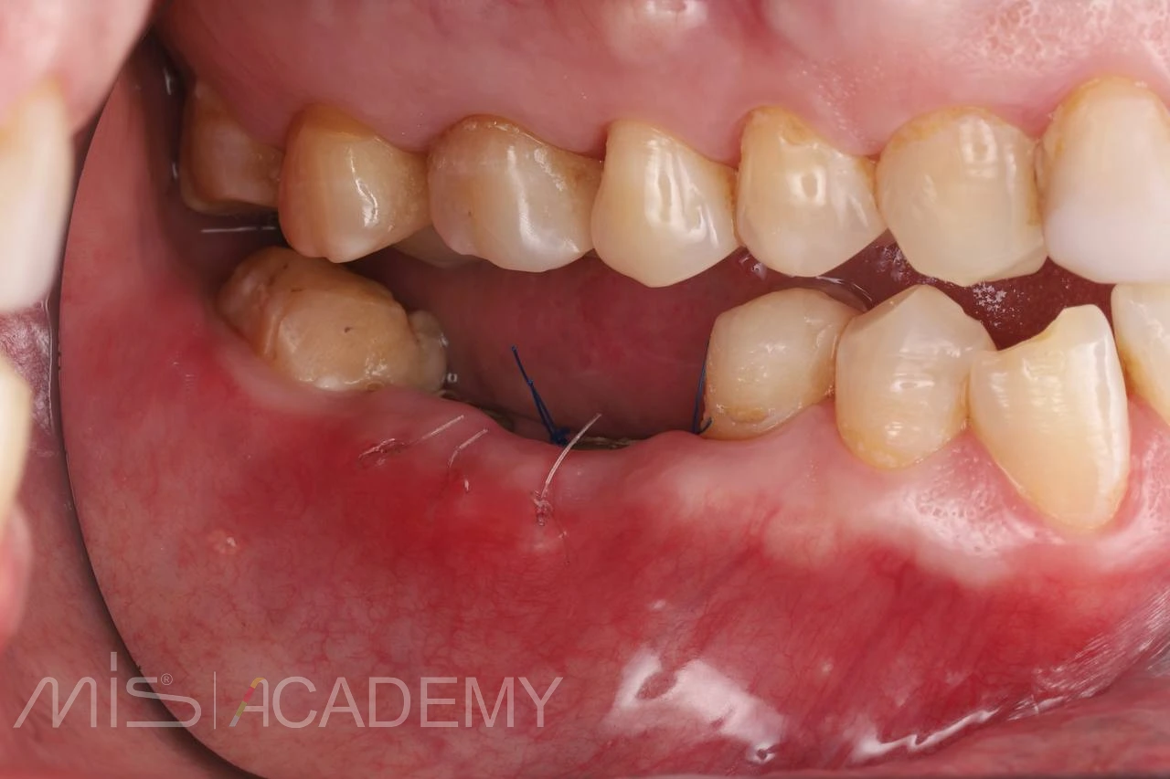
Устранение включенного дефекта зубного ряда на нижней челюсти, который в ходе лечения стал концевым.
— Имплантация 4.6, 4.7 MIS C1.
— Профилирование кости.
— Трансплантат с бугра под вестибулярный лоскут.
— Удаление зуба 4.8 после остеоинтеграции имплантов.
— Искусственные коронки из диоксида циркония на зуб 4.5 и импланты 4.6, 4.7 (2 месяца после фиксации).
#mis #misC1 #АсланХанчадаров










