Пациентка направлена ортодонтом на удаление мезиоденса.
— Трепанация в области истонченного кортикала, чтобы не травмировать сосудистонервный пучок.
— Сегментация.
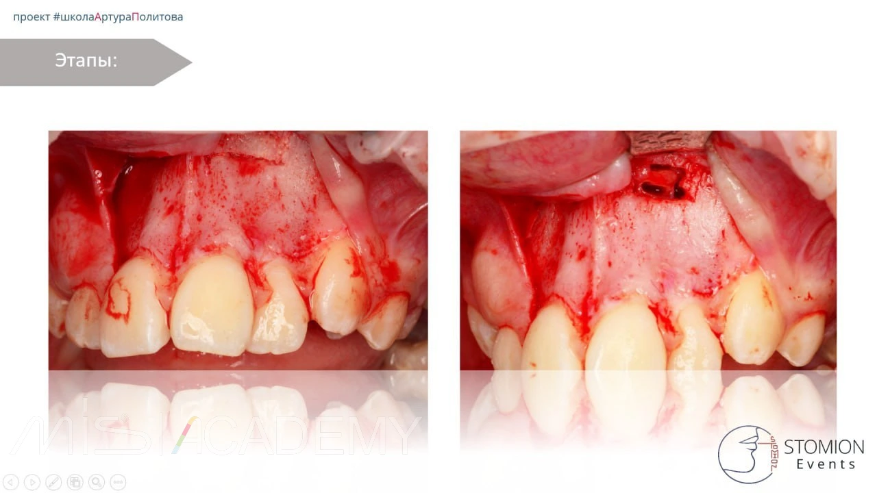
— Извлечение центральной части коронки, далее бугра, далее смещение зуба в просвет и сегментация по типу шинковки до полной экстракции.
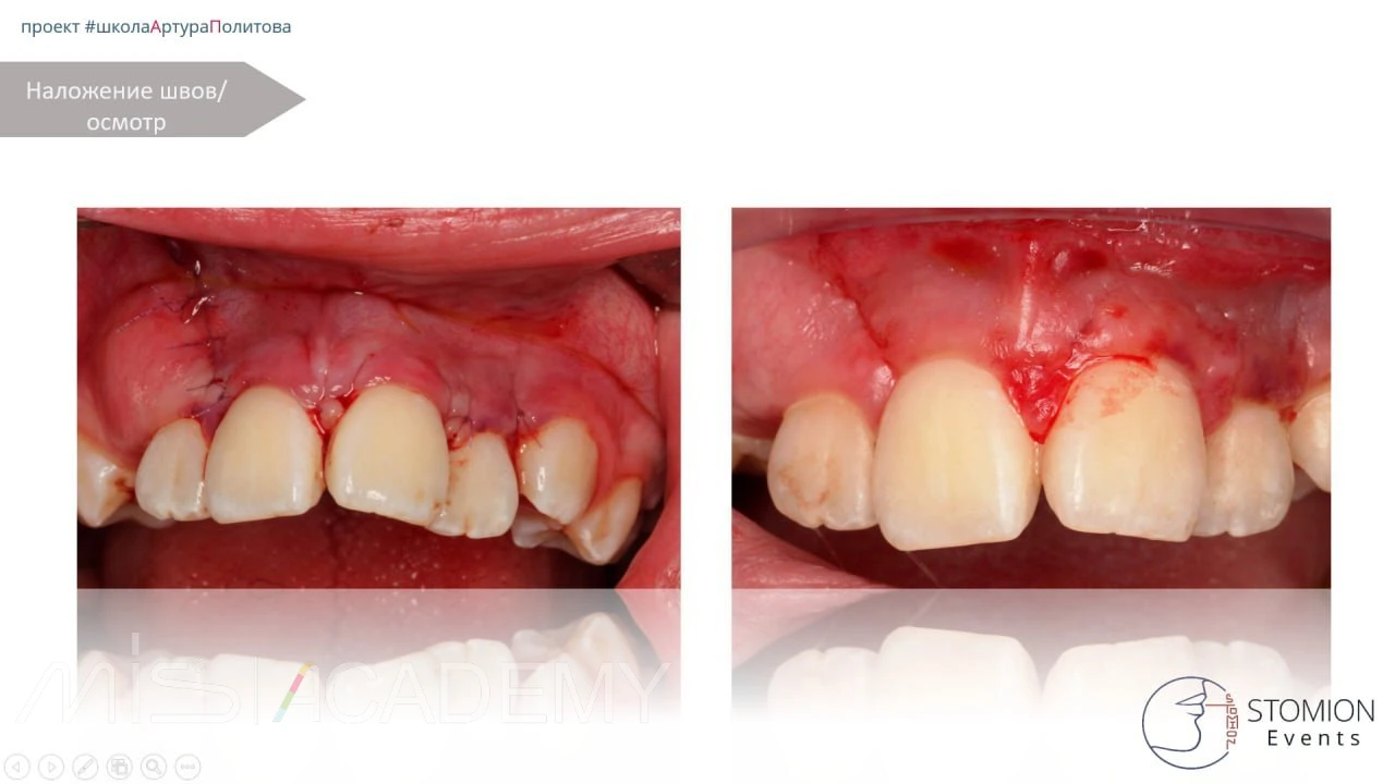
Коллапол, швы.
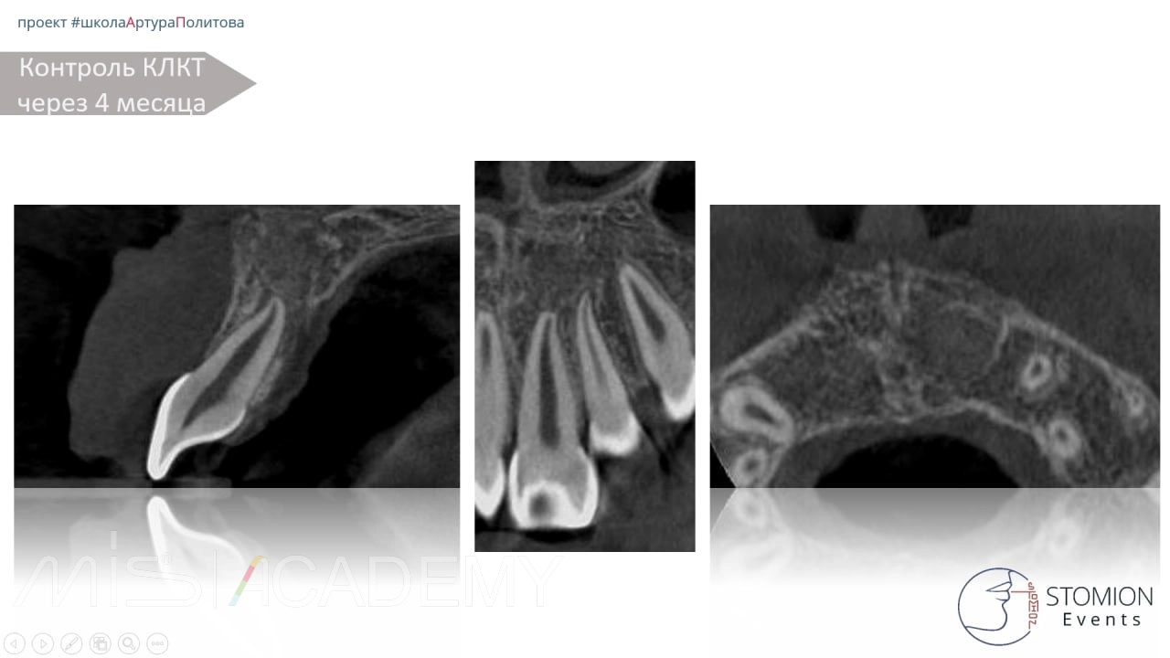
— Контрольное КЛКТ через 4 месяца.
#mis #misC1 #АртурПолитов

