Привет, разные люди 🖐🏻
«Кто из вас без греха, первый брось в неё камень» (цитата Иисуса Христа из Священного Писания).
С этих слов начну пост.
В 2012 году я проводил свою первую тотальную реабилитацию комплексного пациента. Сейчас пора II квадрант.
Из анамнеза: ОСЛ, 6 месяцев, имплантация 2.5, 2.6, контурная пластика.
Вот, прошло 11 лет. У пациента отделяемое, это не новость. Я наблюдаю его регулярно и в целом картина + — не меняется уже много лет. Но в этот раз он обратился так как сломался зуб 2.4, сломался достаточно глубоко, показания для удаления. Я предложил вместо имплантации 2.4, снять коронки с 2.5, 2.6, провести ревизию, если имплантаты жизнеспособны, то провести реабилитацию с консольной конструкцией.
— Снятие коронок.
— Зондирование 6мм — много.
Отделяемое и такое зондирование = переимплантит. Проверка торка, 35 Н/см оба имплантата выдержали как в одну, так и в другую сторону.
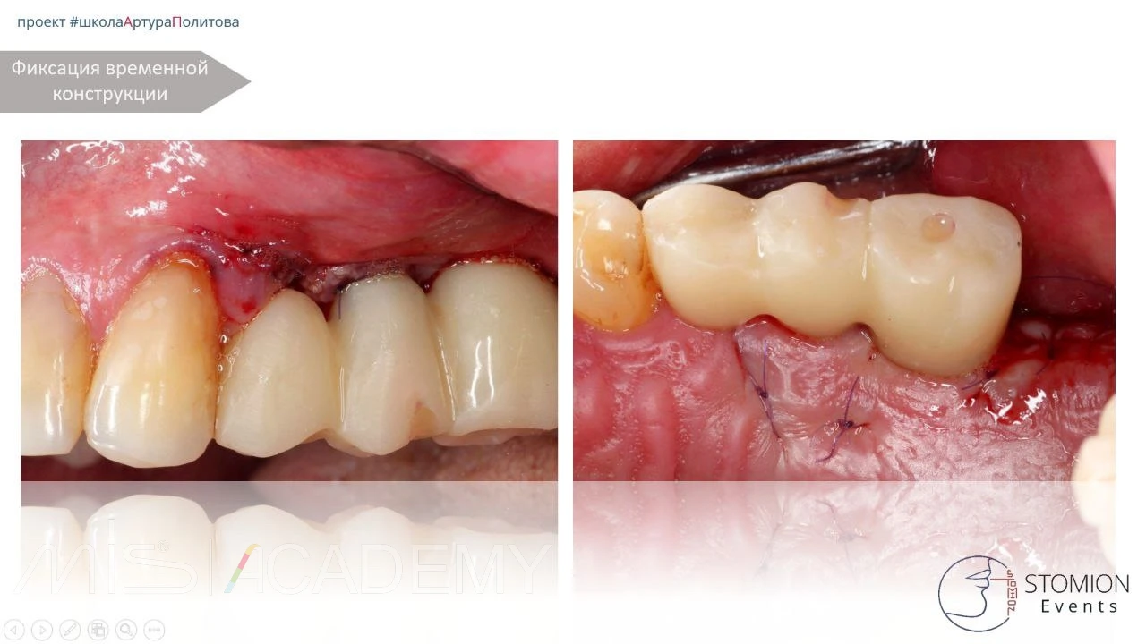
Лоскут. Мобилизация расщеплением в два этажа. Визуализация оголенных витков. Полировка имплантатов MIS Seven. Обработка поверхности имплантатов Хайбен-Икс 1 минуту, СТТ вестибулярно, крестально, ушивание. В этот же день фиксация времнной конструкции с консолью на 2.4. Пациент активный курильщик, я бессилен. Заживление шло очень тяжело, через частичную некротизацию трансплантата.
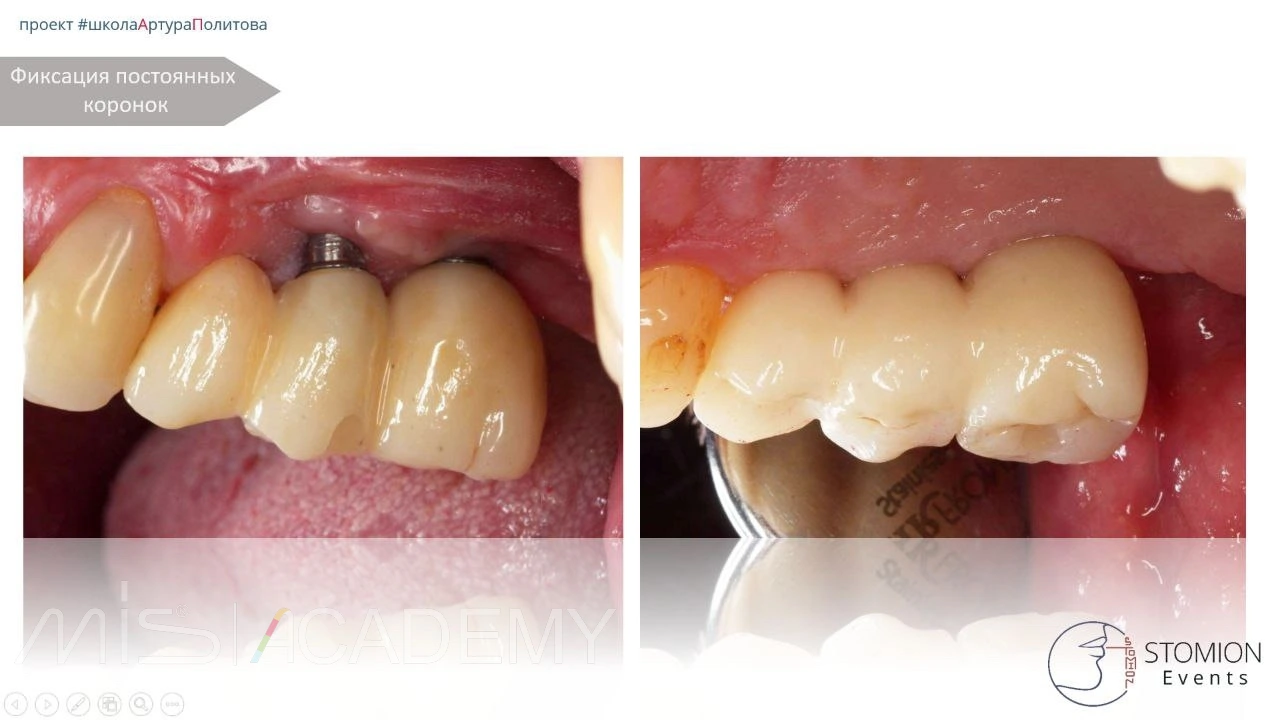
На этапе когда уже нужно изготавливать постоянные картина мягко говоря компромиссная. Ортопед ко мне с вопросом что делать? Я попросил зажмурить глаза и зафиксировать. Пусть будет компромиссный компромисс. Какой-то объем и прикрепление получили, будем наблюдать.
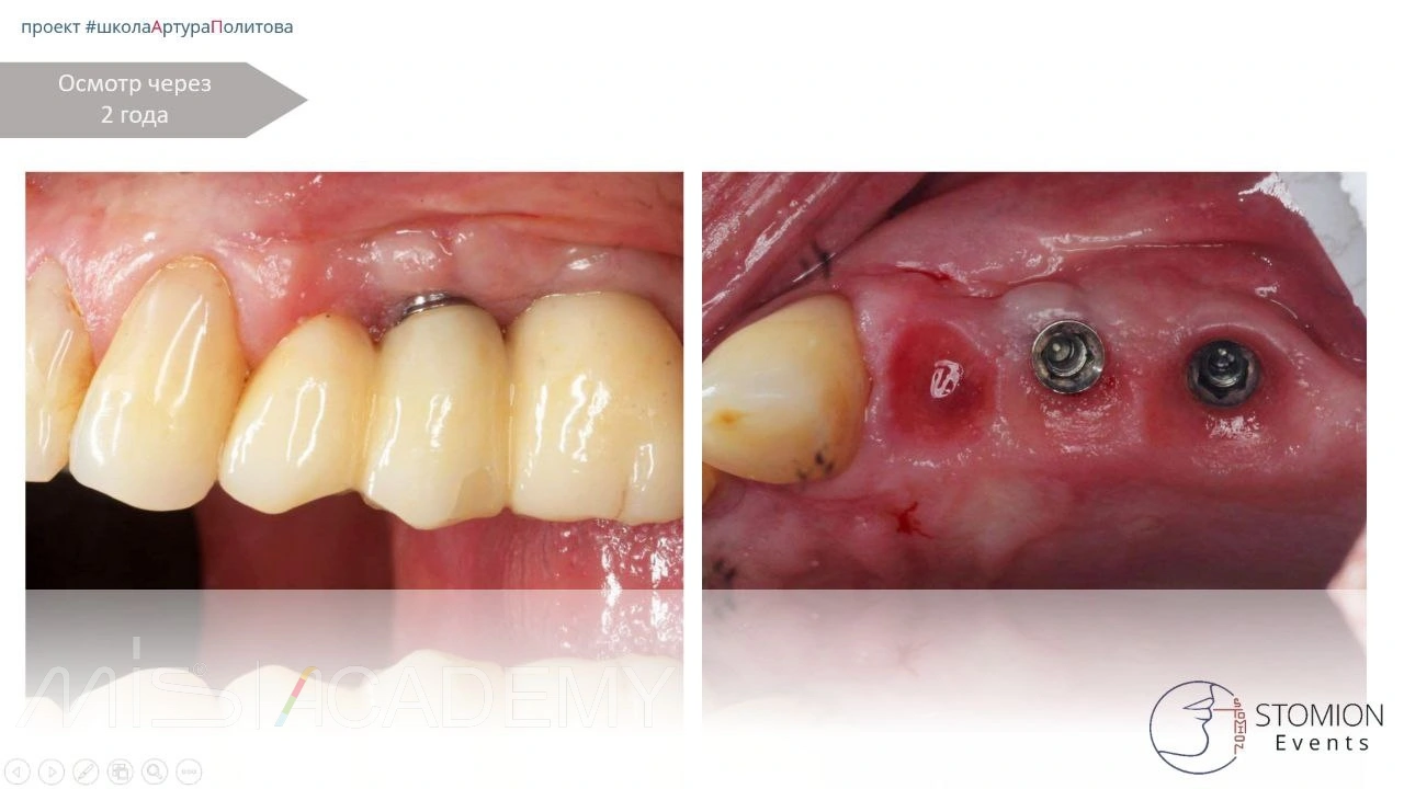
Через два года на профосомотре мы видим качественное созревание мягких тканей. Протоколы и вера в результат отыграли идеально. Ждём дальше.
Делаем выводы:
— Позиционирование имплантата трёхмерно за частую важнее контурной косной пластики.
— С мягкими тканями нужно работать сразу.
— Корректное ортопедическое лечение — это не прихоть.
— MIS — это мощь, сквозь десятилетия, даже при таком оголении есть возможность реабилитировать имплантаты!
Искренне верю, что протоколы последних 7-ми лет не приведут к таким результатам. Ведь сейчас учитывается гораздо больше факторов риска. Но, такие работы позволяют спать спокойно, если даже это живёт, то можно рассчитывать на успех сегодняшних работ в разрезе минимум 30 лет.
Пациенту отдельная благодарность за доверие. Ведь мог дискредитировать меня в глазах коллег. Мы же оцениваем чужие работы через призму сегодняшних знаний, никто бы не подумал, что это 2012 год, первые работы с костной пластикой и так далее. Просто поставили бы диагноз — доктор непрофессионал.
#mis #misseven #АртурПолитов

