Клинический случай с использованием широкого коннекта 5,7 мм на MIS C1.
Пациент: пожилая женщина.
Анамнез: наличие разрушенного зуба 4.6, показания к удалению.
План лечения:
• Удаление зуба 4.6 с сохранением альвеолы.
• Имплантация с отсрочкой 3 месяца.
• Использование широкого коннекта для обеспечения стабильного профиля прорезывания.
• Немедленное временное протезирование.
• Контроль остеоинтеграции и последующее постоянное протезирование.
Ход лечения:
1. Проведено удаление зуба 4.6 с формированием и стабилизацией кровяного сгустка.
2. Через 3 месяца установлен имплантат MIS C1 размером 3,75 × 11,5 мм.
3. Установлен коннект шириной 5,7 мм, высотой 2 мм.
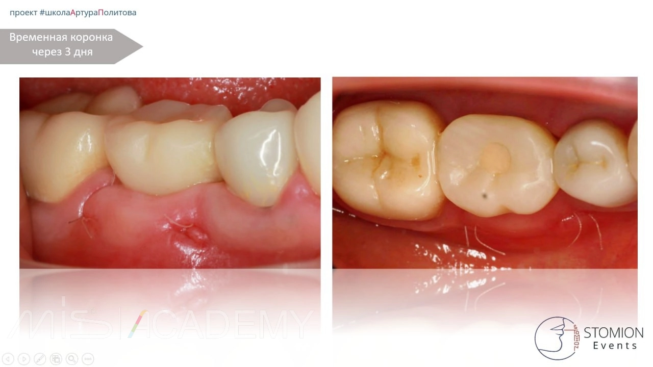
4. Через 3 дня изготовлена и зафиксирована временная коронка.
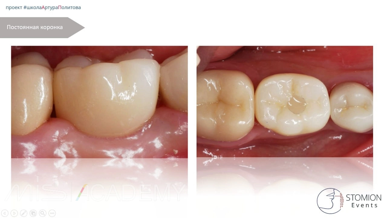
5. Через 3 месяца проведён контроль интеграции имплантата. Признаки стабильности и остеоинтеграции положительные. Выполнено постоянное протезирование.
Результаты:
Контрольное КЛКТ через 2,5 года показало: уровень костной ткани стабилен, признаки резорбции отсутствуют, контур мягких тканей сохранён.
Тем не менее, я придерживаюсь использования узкого коннекта 4 мм. Но, интересно наблюдать за тем малым количеством работ на широком, возможно будут пересмотрены взгляды со временем.
#mis #misC1 #connect #АртурПолитов

