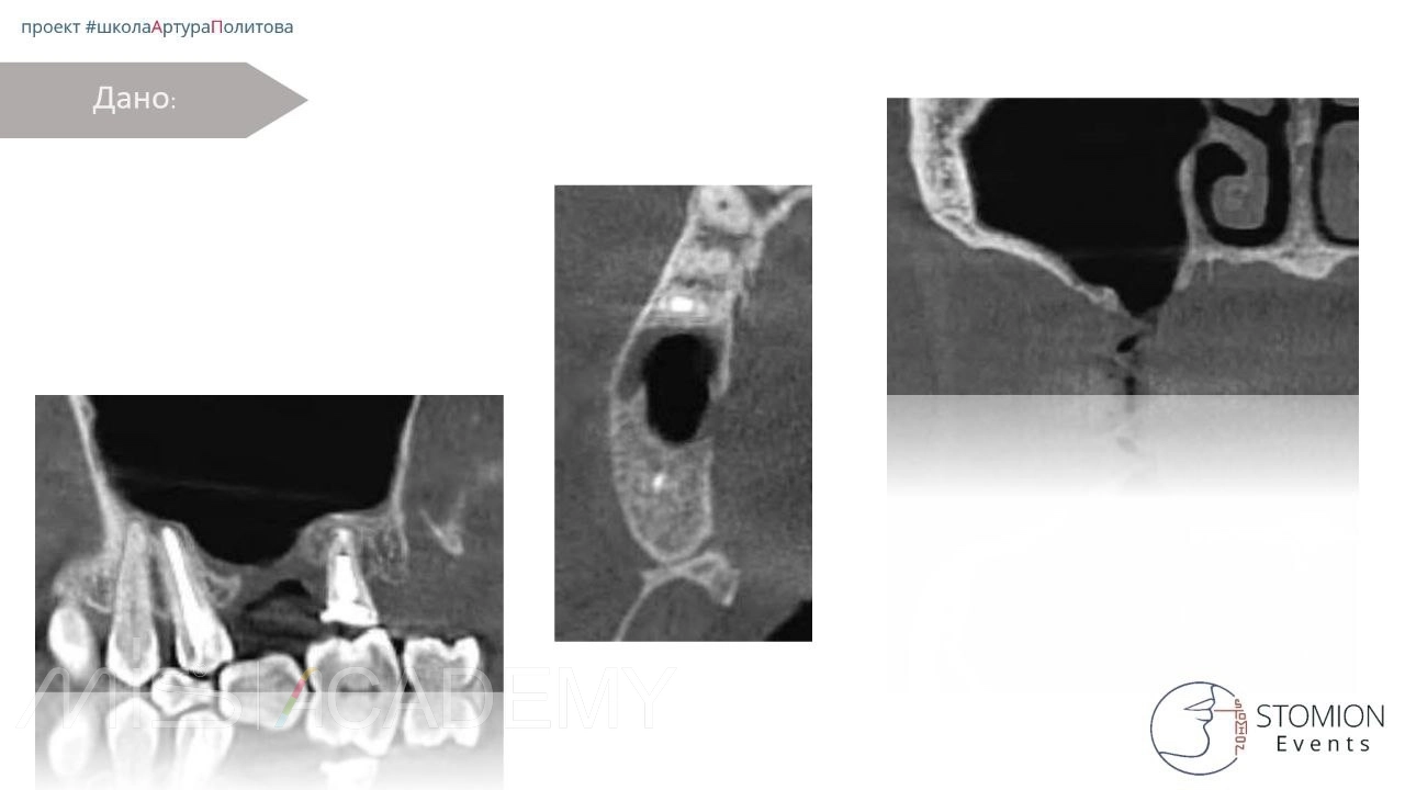
Пациентка: обратилась через месяц после удаления зуба 1.6.
Анамнез:
• При удалении получено ОАС.
• Выполнена пластика вестибулярным трапециевидным лоскутом.
• Дважды проведена повторная пластика по причине рецидива.
• Через неделю после последней операции — формирование свища (при наличии швов).
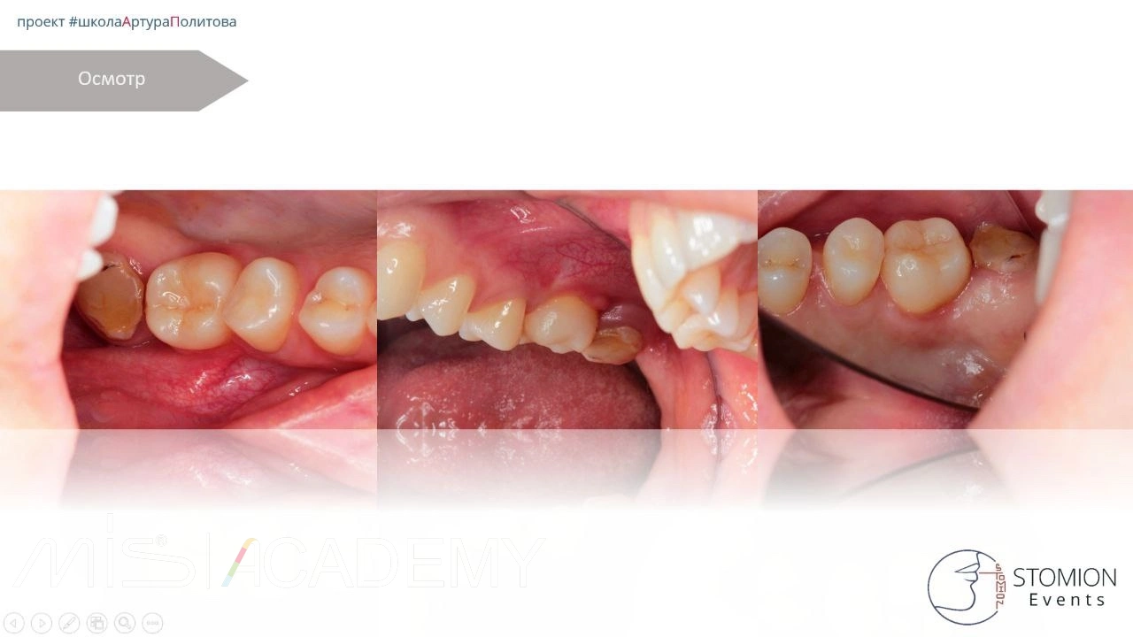
Первичный приём в нашей клинике:
• Сняты швы.
• Проведена проба — отмечена миграция воздуха.
• Назначена асепта на постоянной основе 3 недели.
Контроль через 2 месяца:
• Свища нет.
Хирургический этап:
• Выполнено расщепление лоскута.
• Проведён транскрестальный синус-лифтинг.
• В субантральное пространство внесён Коллапол.
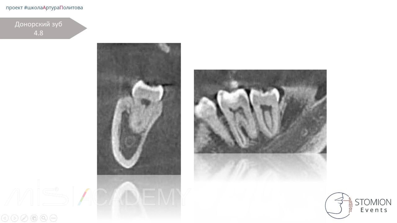
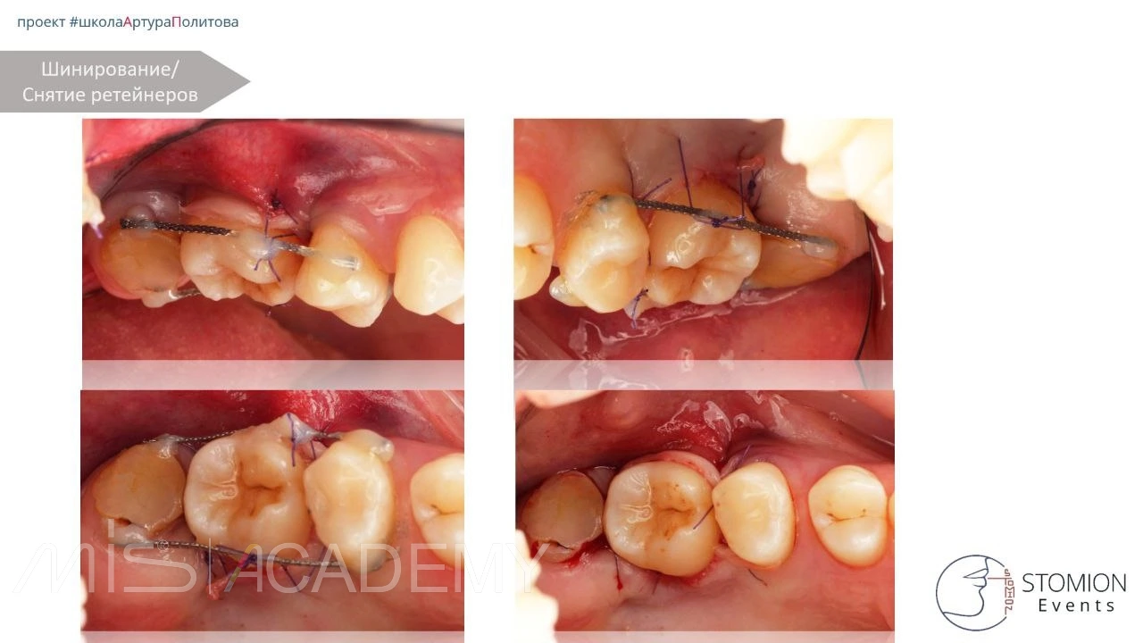
• Одновременно удалён зуб 4.8, трансплантирован в область адентии 1.6 с ТКСЛ.
• Фиксация трансплантата двумя шинами, создание клапана наложением швов.
Послеоперационное ведение:
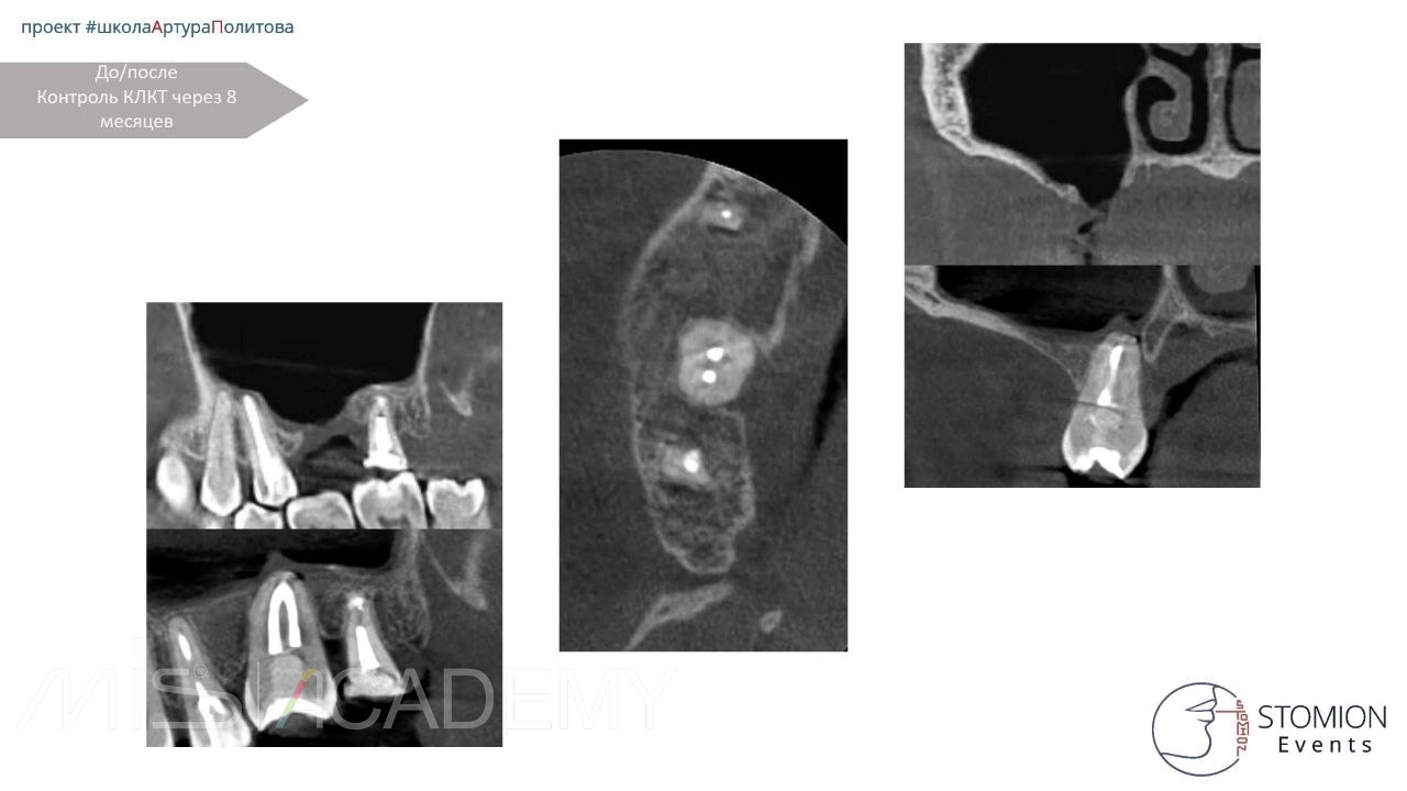
• Контрольное КЛКТ.
• Через 14 дней — снятие ретейнеров, депульпирование, наложение кальция.
• Через 14 дней — постоянная пломбировка кк.
Отдалённый результат:
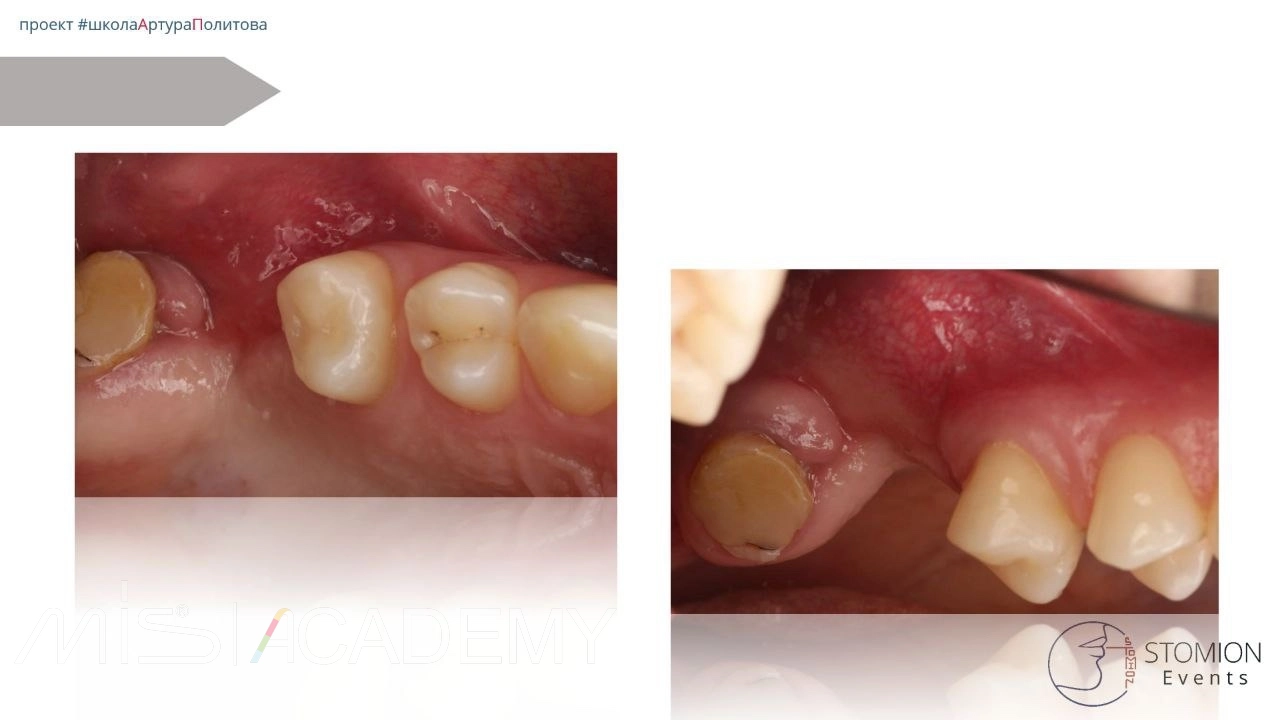
• Через 6 месяцев — контрольное КЛКТ и осмотр.
• Исход положительный, костная регенерация и интеграция трансплантата.
Вывод: организм приятно удивляет, уже начинаем воспринимать такие результаты как норму.
#mis #АртурПолитов

