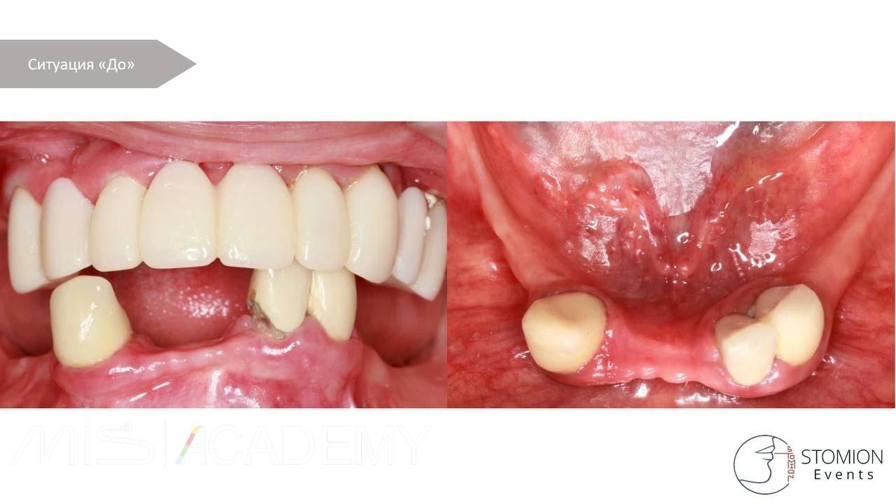
Реферальная работа, выполнена хирургия, передана на протезирование.
В этом посте рассмотрим работу на НЧ.
Выполнено:
— Multifix на 4-х MIS C1.
— Коннекты во фронте.
— 30 градусов МЮ дистально.
— Мягкотканная пластика + B2S в критических зонах вестибулярно.
— Навигация полнопротокольная, разборная, накостная.
— Нагрузка немедленная, внутриротовая сварка.
P/S В следующем посте покажу работу на верхней челюсти и финальный результат.
#mis #misC1 #multifix #mu #connect #b2s #АртурПолитов

