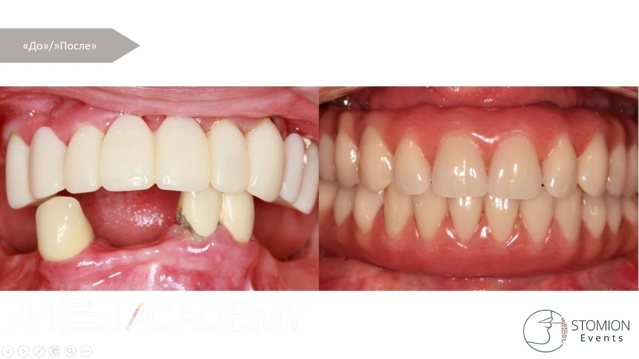
Продолжение поста про реферального пациента.
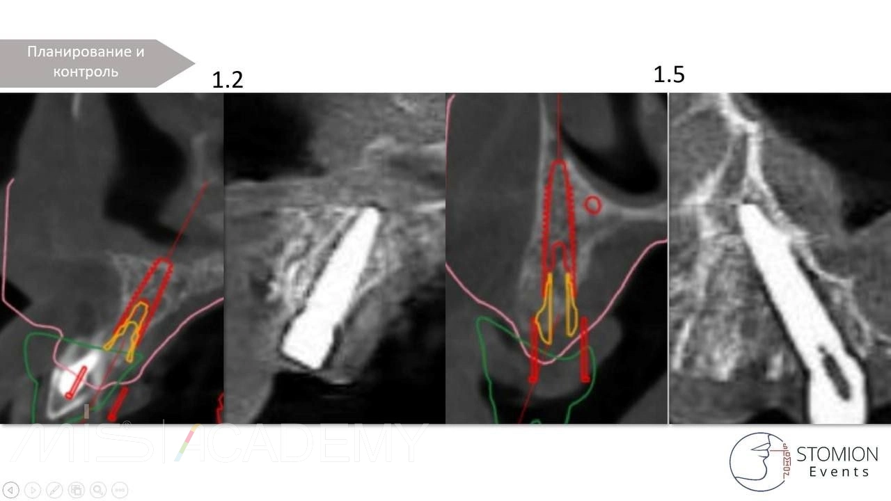
— На ВЧ так же Multifix на 4-х.
— MIS C1, коннекты во фронте, 30 градусов МЮ дистально.
— Мягкотканная пластика + B2S в критических зонах вестибулярно.
— Навигация полнопротокольная, разборная, накостная.
— Нагрузка немедленная, внутриротовая сварка.
P/S На финишном фото — акрил с КХС. Вроде выглядит неплохо. Хотя мы сейчас предпочитаем делать на титановой балке, чтобы контакт слизистой был с полированным титаном, а не акрилом.
#mis #b2s #mu #multifix #нхш #connect #ПртурПолитов

