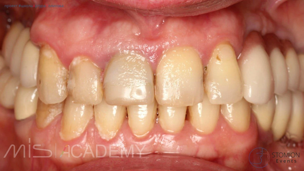
Атравматичное удаление зуба 1.1 с использованием системы Benex. Тип лунки — I (интактная).
— Выполнена одномоментная установка имплантата MIS C1 3,75 × 13 мм с коннектом 3 мм. Зазор более 2 мм.
— Проведена аугментация материалом Bio-Oss Collagen.
— Произведён забор СТТ с бугра верхней челюсти.
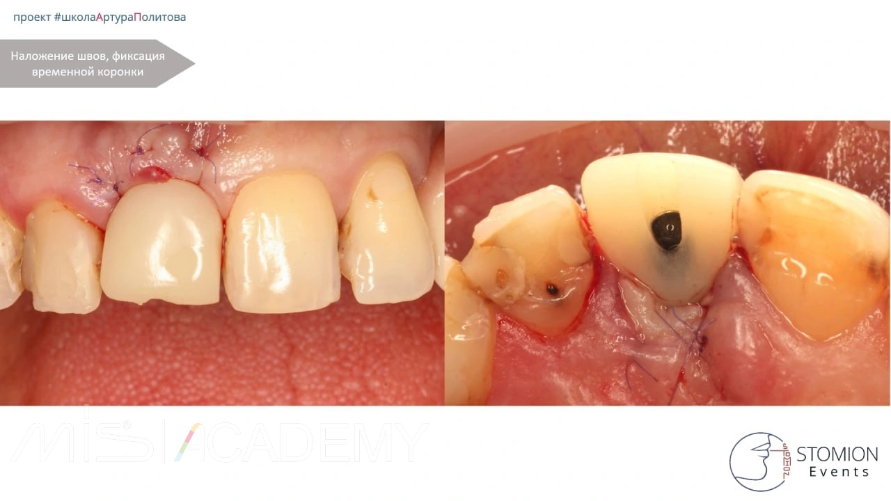
— Вестибулярно, в области свободного десневого края и сформированного кармана по типу «конверта», уложен деэпителизированный соединительнотканный трансплантат с целью профилактики коллапса мягких тканей.
— С нёбной стороны использован трансплантат с сохранённой эпителиальной полоской для компенсации дефицита мягких тканей.
— Выполнена немедленная нагрузка с использованием позиционера.
Снятие швов — через 9 суток.
Через 1 год — финишная ортопедическая реставрация на имплантате с уровня коннекта.
Навигация STOMION STL — Козлов Алексей
Конструкция STOMION STL — Комшиашвили Тенгиз
Ортопед STOMION Клиника — Узденов Рамазан
#mis #misC1 #connect #АртурПолитов

