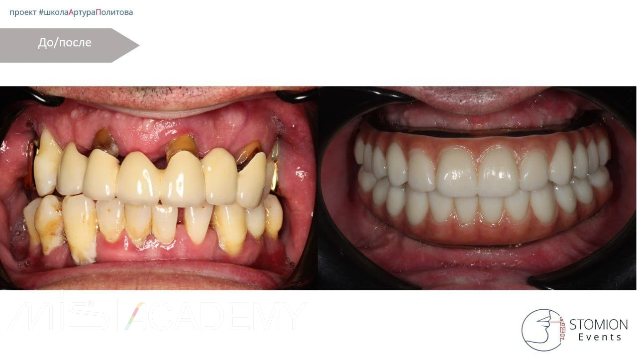
Тотальная реабилитация на имплантатах Multifix ВЧ на 6, НЧ на 4 MIS C1.
Разборные шаблоны из трёх частей:
1. Пластик для позиционирования.
2. Лазерное спекание метал база.
3. ЛС метал со втулками.
Финишные конструкции FP3, циркон на фрезерованном титановом каркасе. Цементный зазор уведён от десневого края.
Навигация Стомион СТЛ — Козлов Алексей.
Конструкция Стомион СТЛ — Гаспарян Александр.
Ортопед Стомион Клиника — Узденов Рамазан.
#mis #misC1 #fp3 #multifix #АртурПолитов

