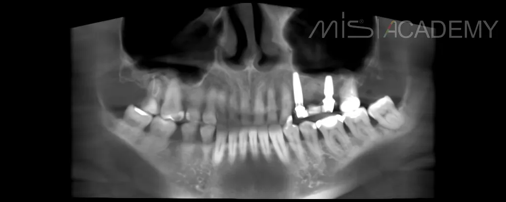
Произведено удаление зуба 2.4
— Одномоментная установка имплантата в области 2.4.
— Установка имплантата в области 2.6 с закрытым синус-лифтингом.
— Установка произведена с помощью хирургического шаблона.
— Импланты MIS C1 3.75×13 и 4.2х8.
— Установлены multi unit в области 2.6.
— Connect- абатмент в области 2.4.
— Фиксация балки lego bridge + внутриротовая сварка.
— Временные коронки.
— Накладывание двойных обвивных швов.
P/S Заживление через 3 месяца.

