Удаление, одномоментная имплантация 2.3, 3.75×13 MIS C1
1. Пересадка ССТ.
2. Connect abatement.
3. Временная коронка.
4. Сканирование через 3 месяца с уровня connect для изготовления постоянной коронки из диоксида циркония.

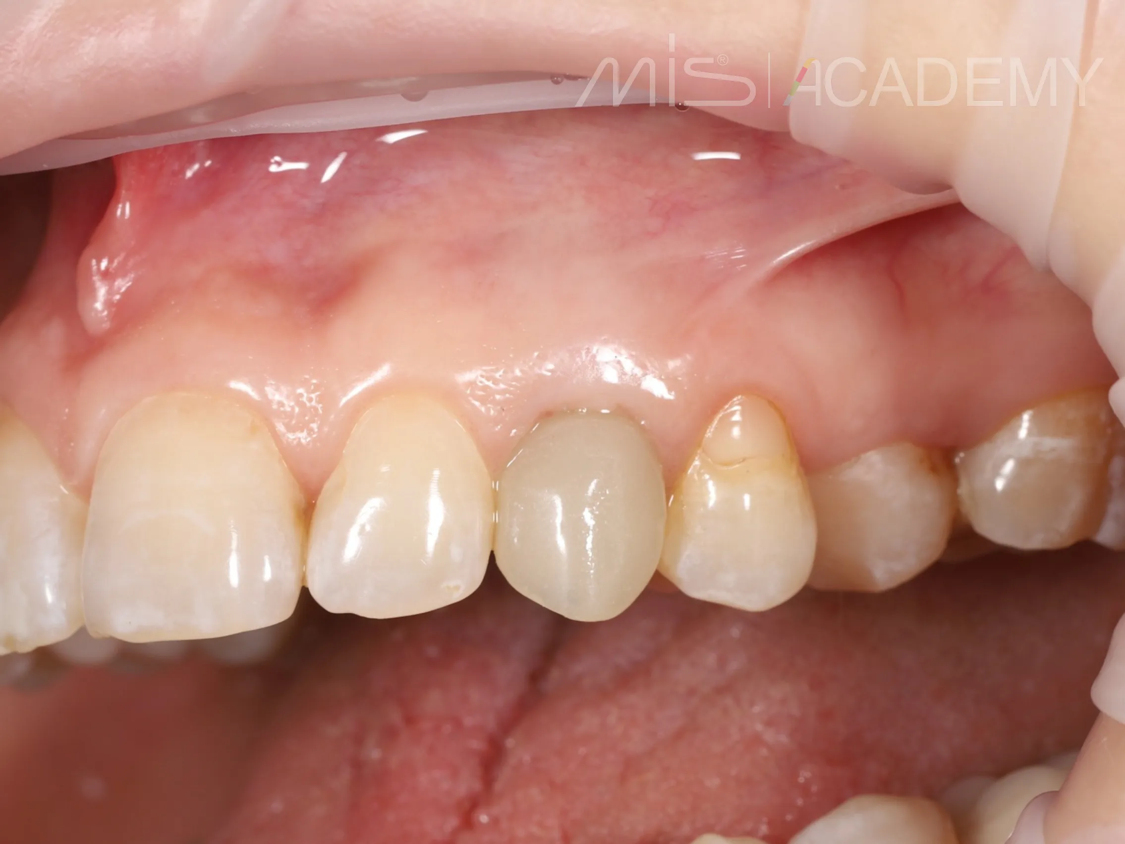
1. Пересадка ССТ.
2. Connect abatement.
3. Временная коронка.
4. Сканирование через 3 месяца с уровня connect для изготовления постоянной коронки из диоксида циркония.

Поделиться | Обсудить