Ренат Ризванов г. Нижний Новгород.
Комплексная реабилитация пациента 38 лет.
В анамнезе неудачное лечение зубов, приведшее к их удалению. В предыдущей клинике удалили все несостоятельные зубы, рекомендовали подождать 6 месяцев с временными протезами, после чего на контрольном КТ костной ткани для имплантации не увидели и на этом лечение фактически закончилось.
Пациент обратился к нам. Совместно с Игорем Лёвушкиным составили пошаговый план реабилитации.
Первый этап верхняя челюсть:
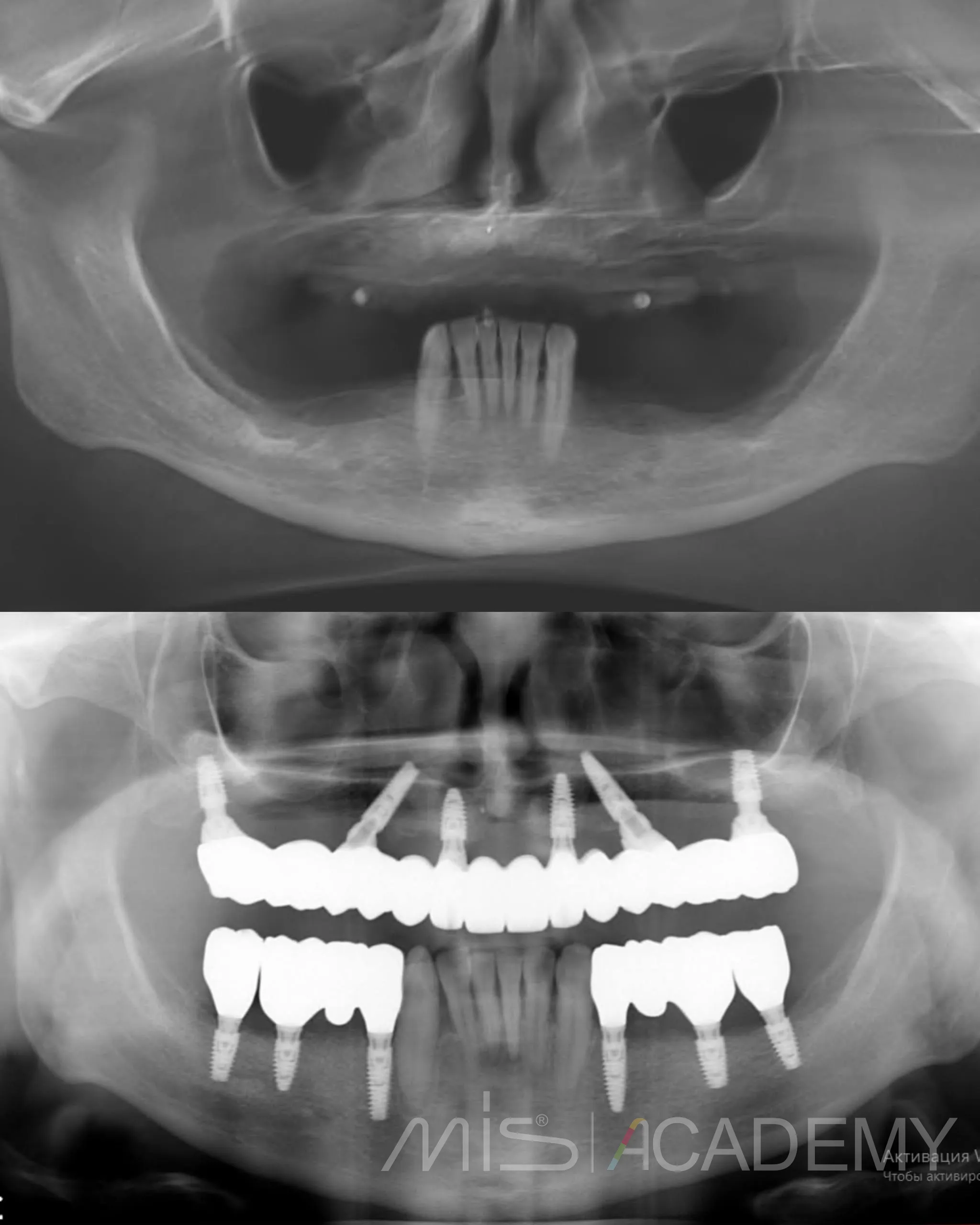
— По навигационному накостному шаблону установили 6 имплантатов MIS C1.
— В дистальных отделах выполнены открытый и закрытый синуслифтинги под заглушки.
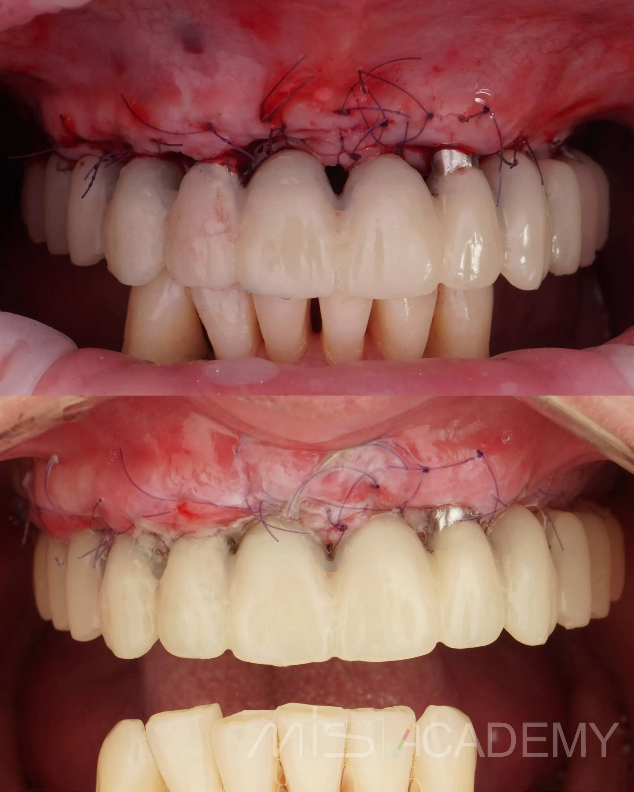
— Четыре имплантата в переднем отделе нагружены временной армированной конструкцией, разборная балка сварена непосредственно в полости рта, с уровня коннектов и угловых мультиюнитов.
— Во всех зонах имплантатов и понтиков выполнена пластика мягких тканей.
Второй этап нижняя челюсть:
В боковых отделах выраженная атрофия по ширине и высоте. При планировании приняли решение об имплантации с одновременной костной аугментацией по ширине.
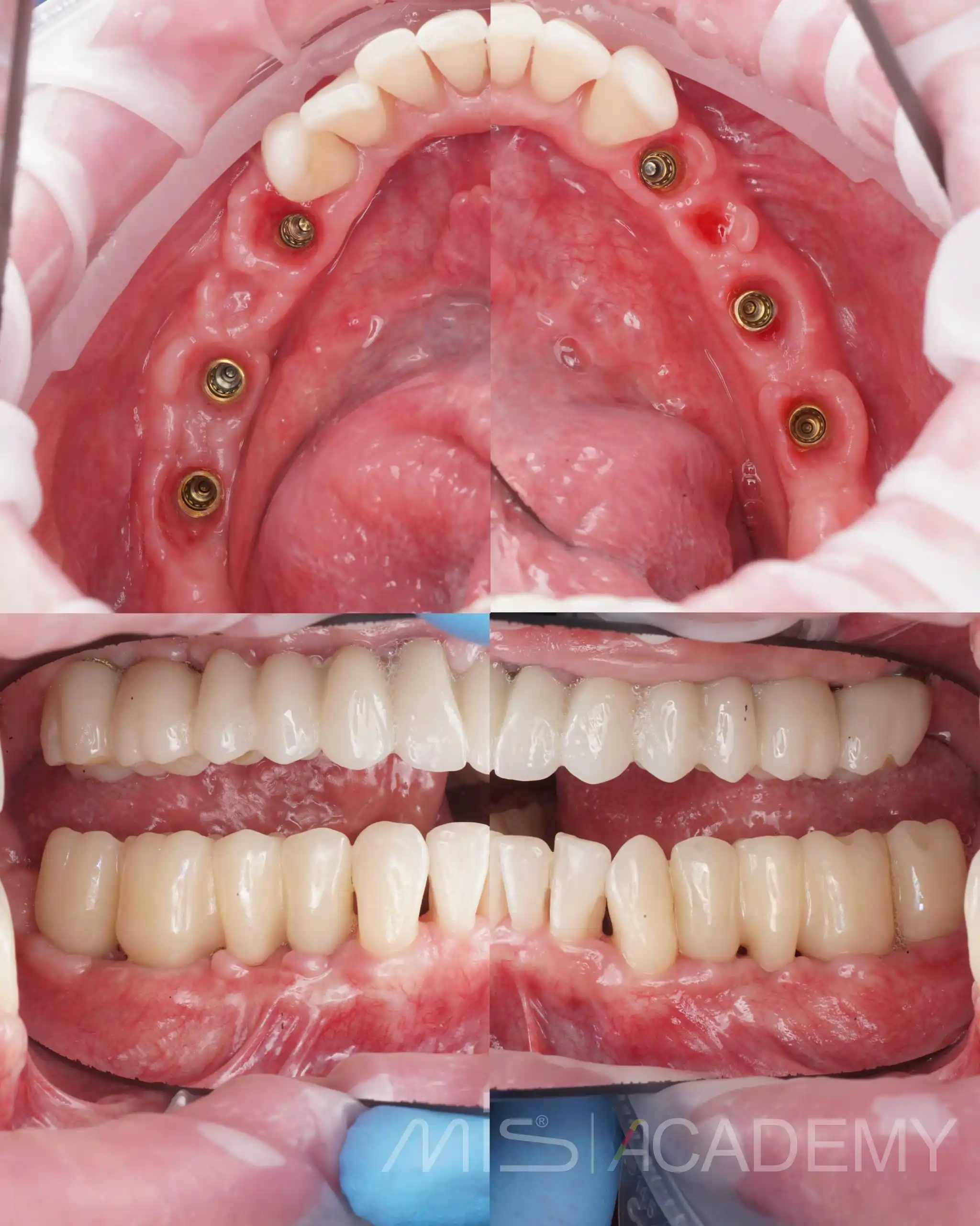
— Установлены имплантаты MIS C1.
— Connect абатменты с заглушками, которые дополнительно сработали как тенты.
— Костная пластика материалами Osteobiol: справа ксено MP3 с Derma, слева Gen-Os с нативным коллагеном и Lamina Curved, ушивание.
Через 6 месяцев выполнено раскрытие, замена заглушек на формирователи десны на коннектах и пластика мягких тканей.
Через 1,5–2 месяца пациент передан Игорю Левушкину для завершения лечения ортопедическим этапом.
#mis #misC1 #connect #mp3 #синуслифтинг #total #РенатРизванов #ИгорьЛевушкин










