Пациент изначально обратился за костной пластикой, но после полноценного анализа данных и детального планирования мы предложили альтернативное, более рациональное решение.
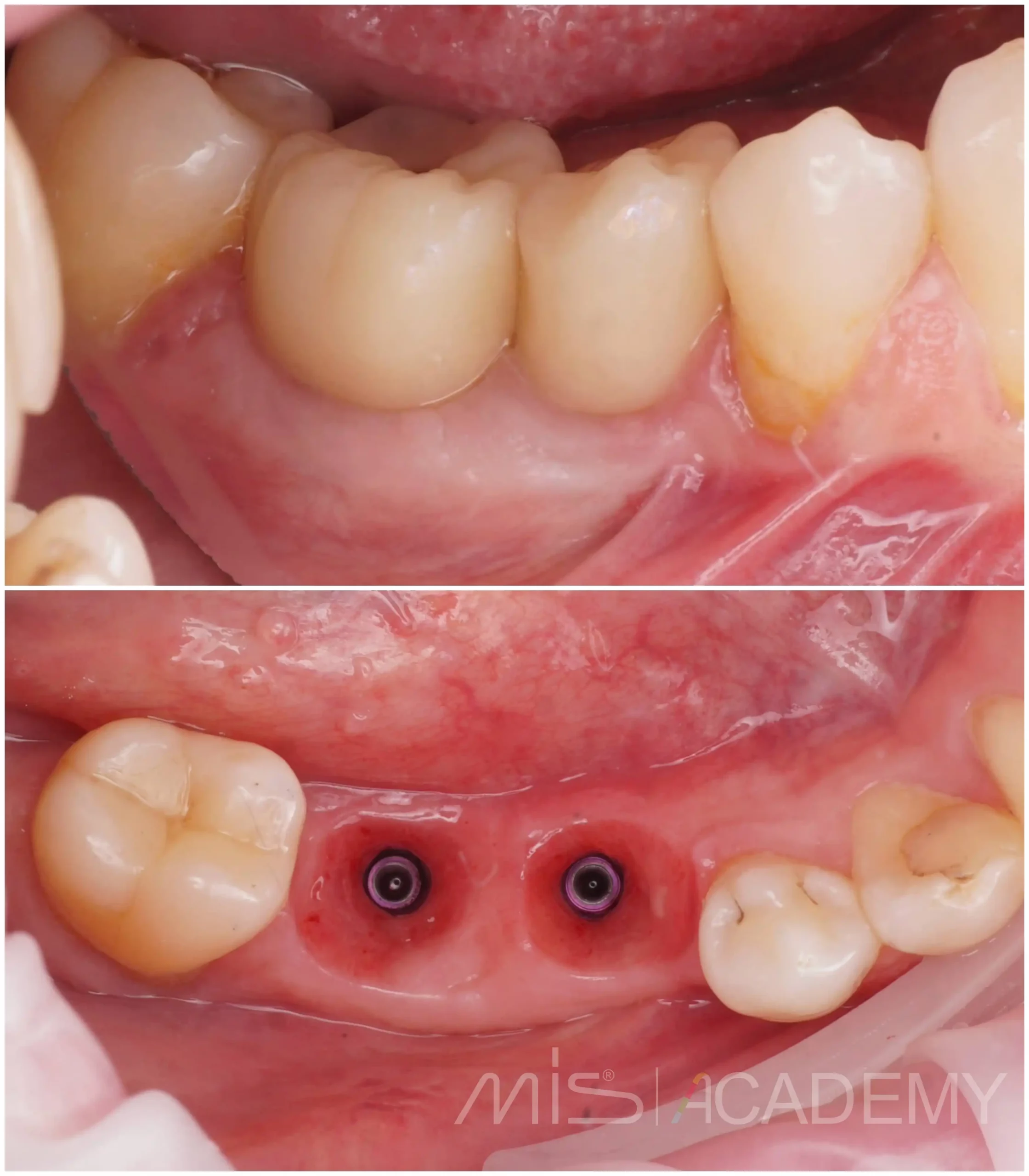
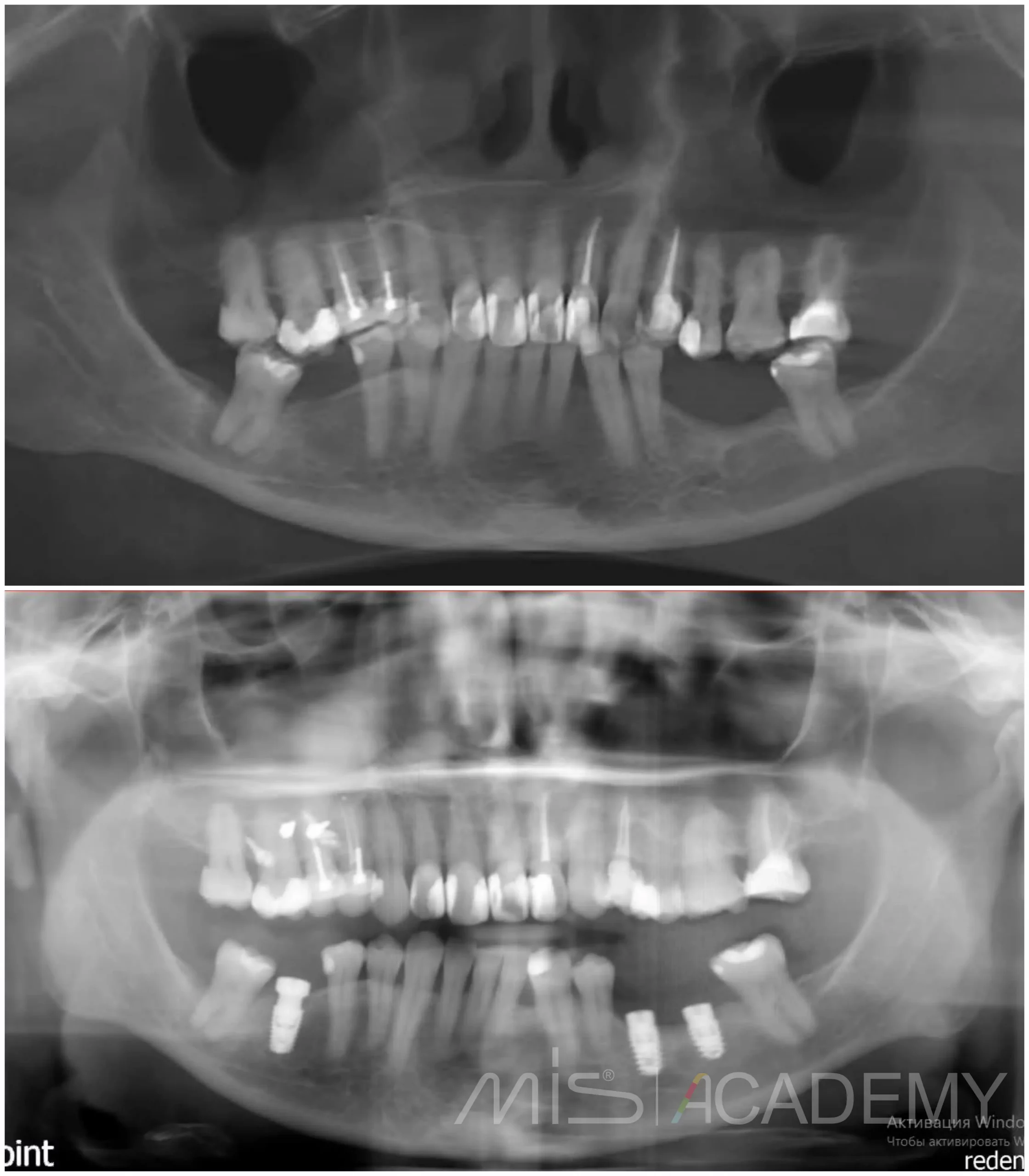
— По хирургическому шаблону установили имплантаты MIS Seven высотой 8 и 6 мм.
— Сразу использовали формирователи десны 3 мм.
— Мягкие ткани дополнительно доработали: выполнена пластика ССТ на фдм методом пончо и вестибулярно.
— Рана ушиты наглухо поверх формирователей.
Через 2 месяца повторный этап:
— Открытие имплантатов.
— Замена формирователей на concave фдм.
— Повторная работа с мягкими тканями для формирования стабильного и прогнозируемого контура.
После этого Игорь Левушкин выполнил временное, а затем и постоянное протезирование.
Хороший пример того, что не каждая клиническая ситуация требует костной пластики, иногда правильное планирование и работа с мягкими тканями дают не менее стабильный и предсказуемый результат.
🔬 #mis #misseven #seven #фдм #сст #РенатРизванов #ИгорьЛевушкин









