Планирование имплантации и дизайн шаблона MGuide в Msoft
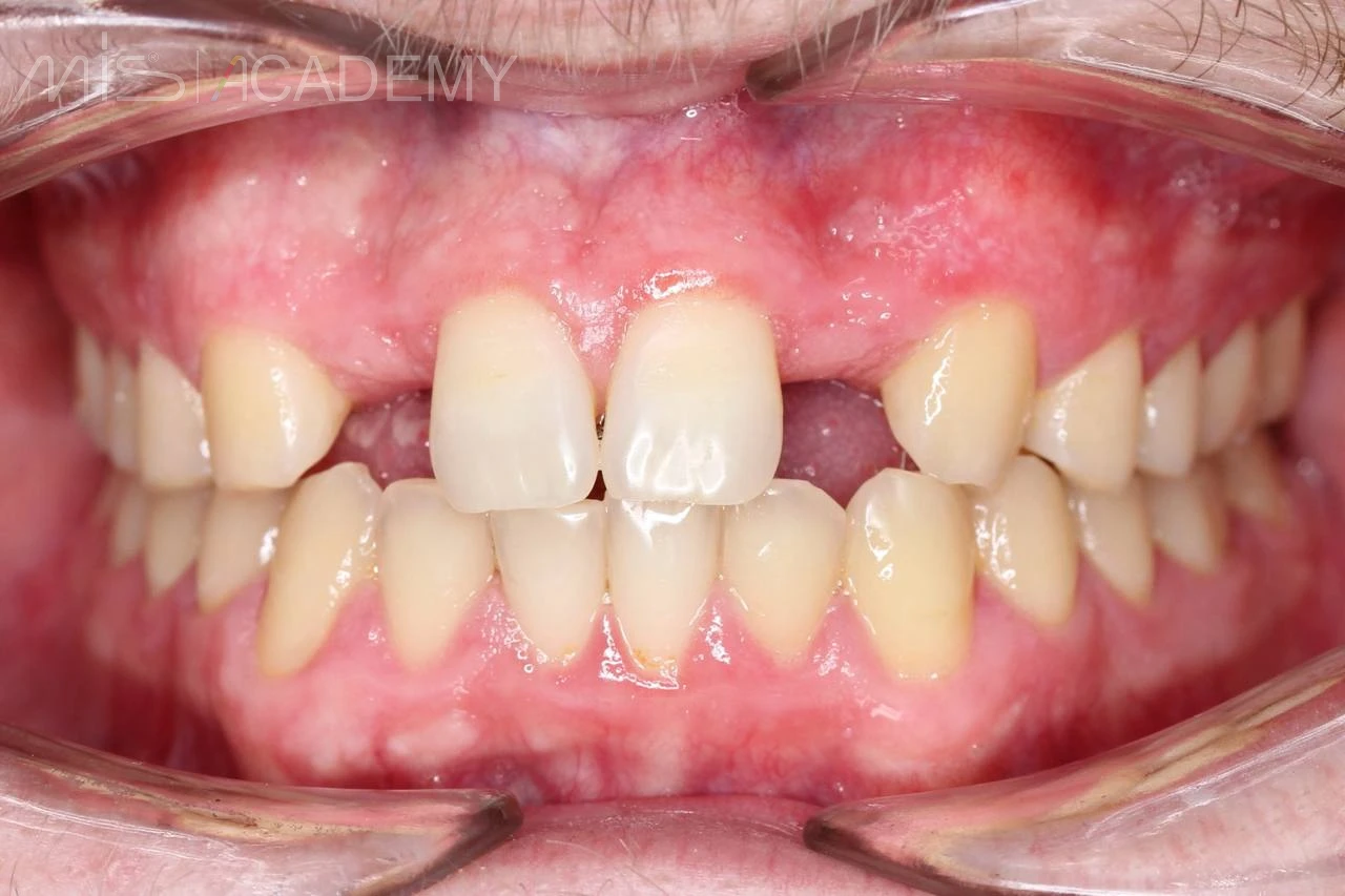
Пациент 21 год. Ортодонтическое лечение закончил в 16 лет. В этот период пользовался частичный съемным протезом.
— Планирование имплантации и дизайн шаблона MGuide в Msoft.
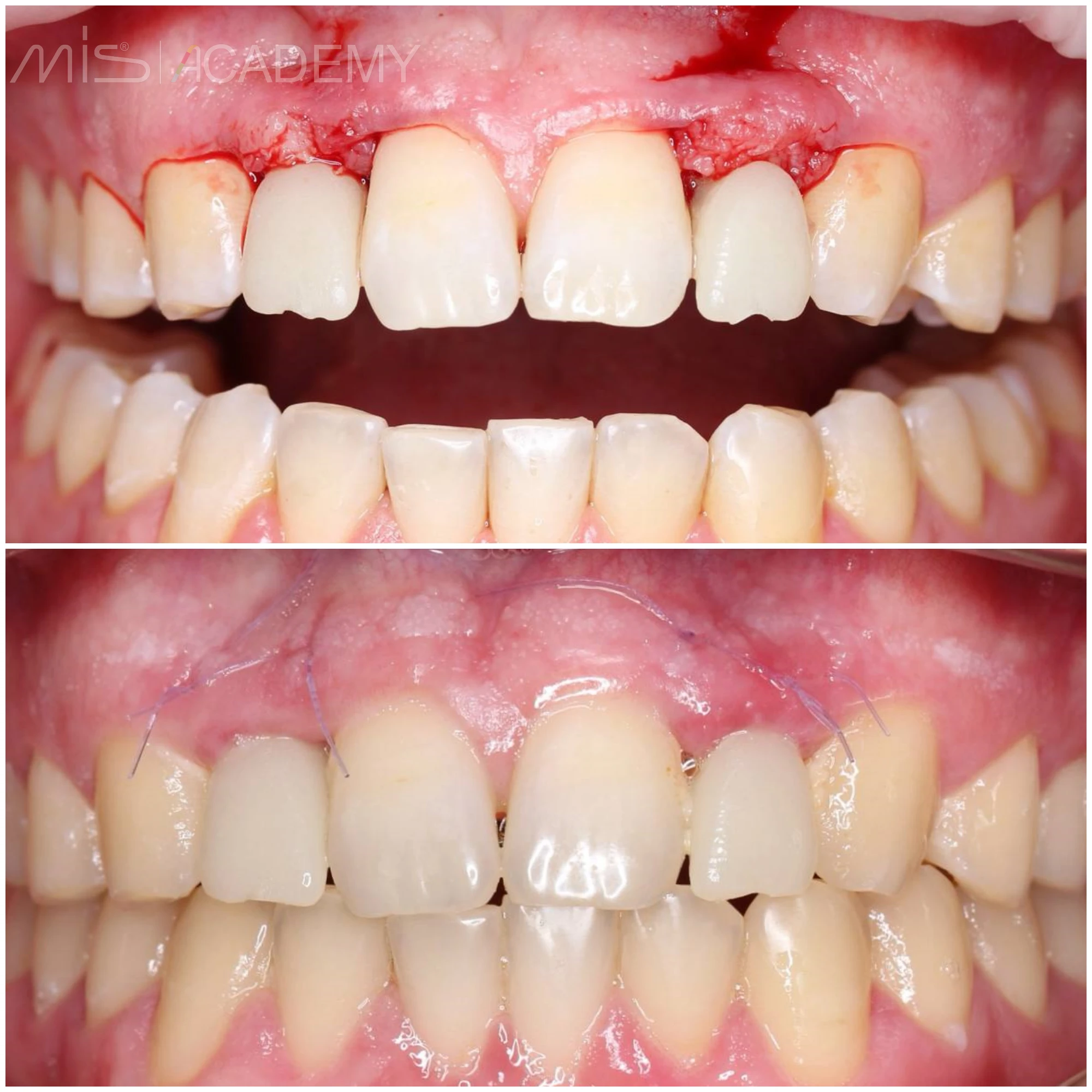
— Имплантаты MIS C1 3.3-13 в позиции 12 и 3.75-13 в позиции 22. Connect абатмент 3 мм.
— От зенита будущей реставрации до платформы Connect 3 мм.
Очень важно спланировать позицию имплантата в сборе с Connect и титановым основанием, для корректного протезирование и прогнозируемого формирование десневого контура.
- Временные коронки заранее изготовлены и зафиксированы в день операции.
- Через 6 месяцев сканирование и изготовления постоянных коронок из цельного циркония на титановых эстетических основаниях с изи винтами для изменения угла шахты.

