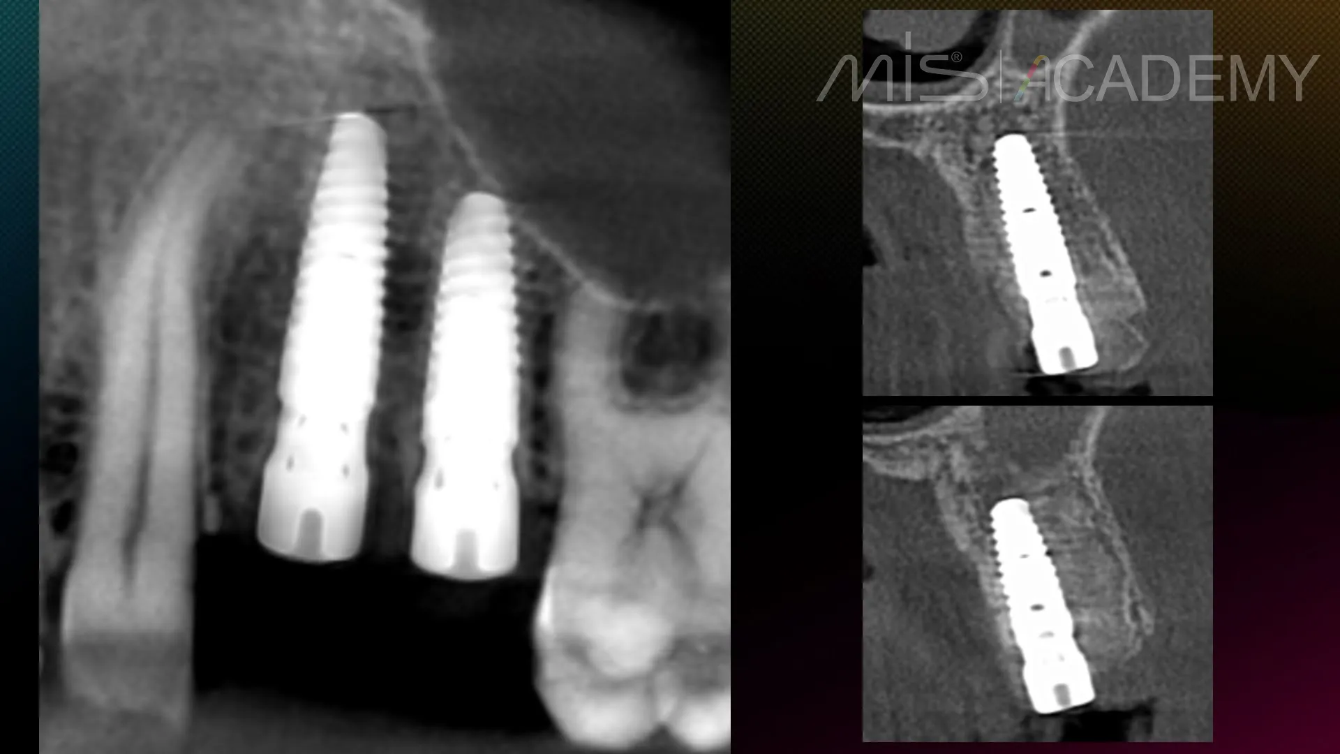
Промежуточный этап лечения пациента:
— Удаление корней 2.4, 2.5.
— Установка имплантатов MIS C1.
— CONNECT абатменты.
— Bio-oss, стимул-осс.
— Временные коронки через 6 месяцев.
— Результат формирования контура прорезывания на временных коронках спустя 1 месяц после их установки.
#mis #misC1 #biooss #connect #ТатьянаКовалева

