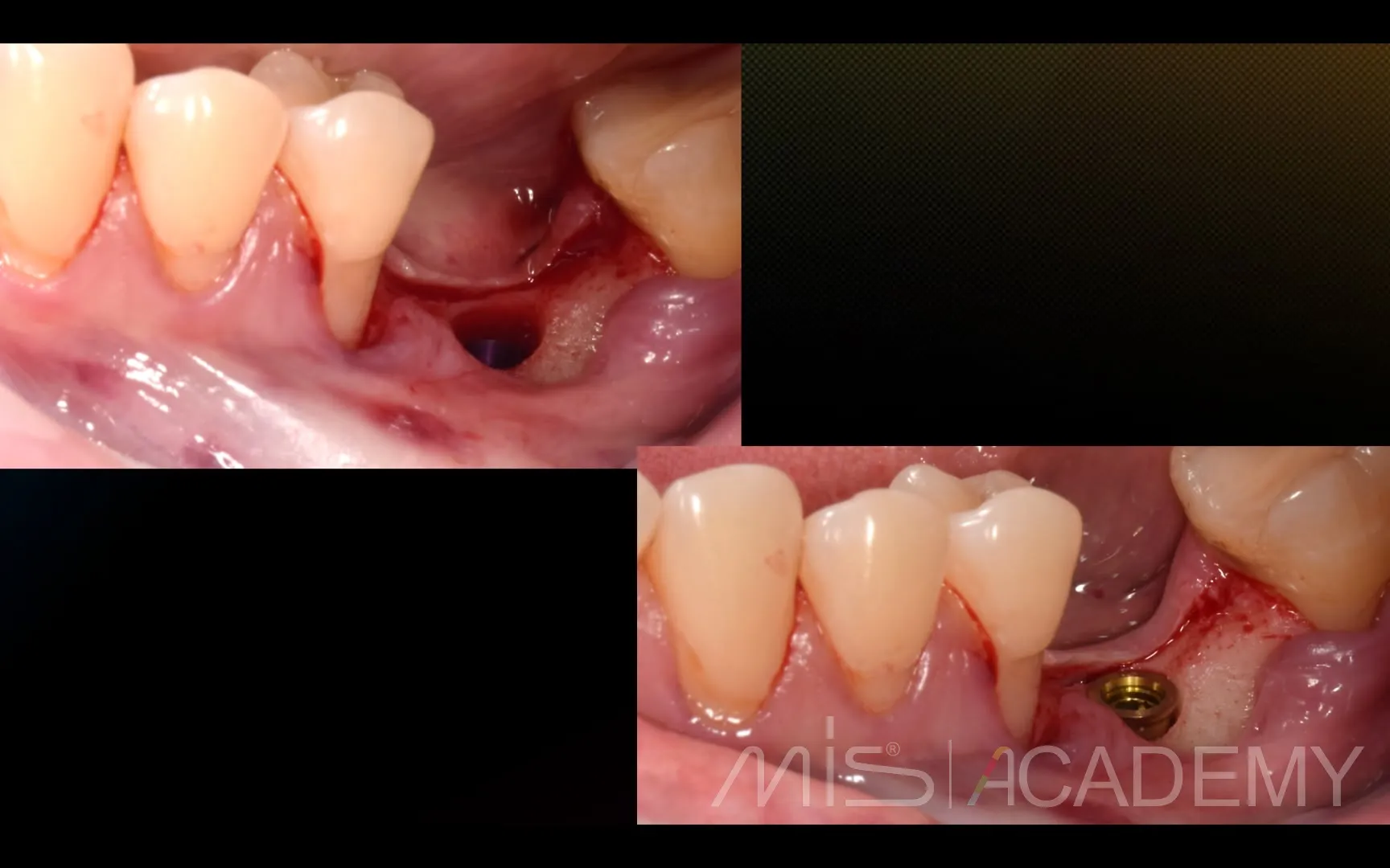
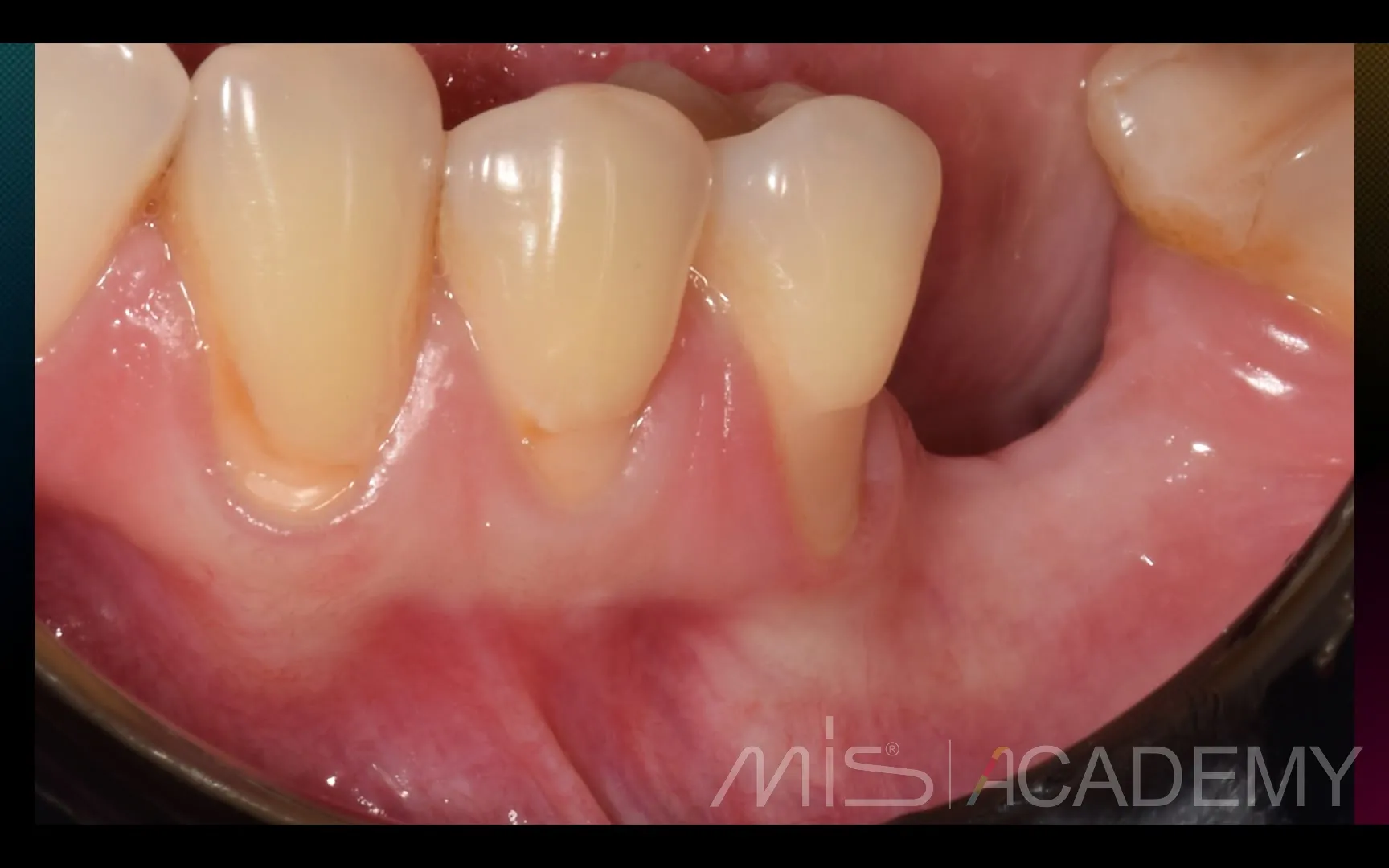
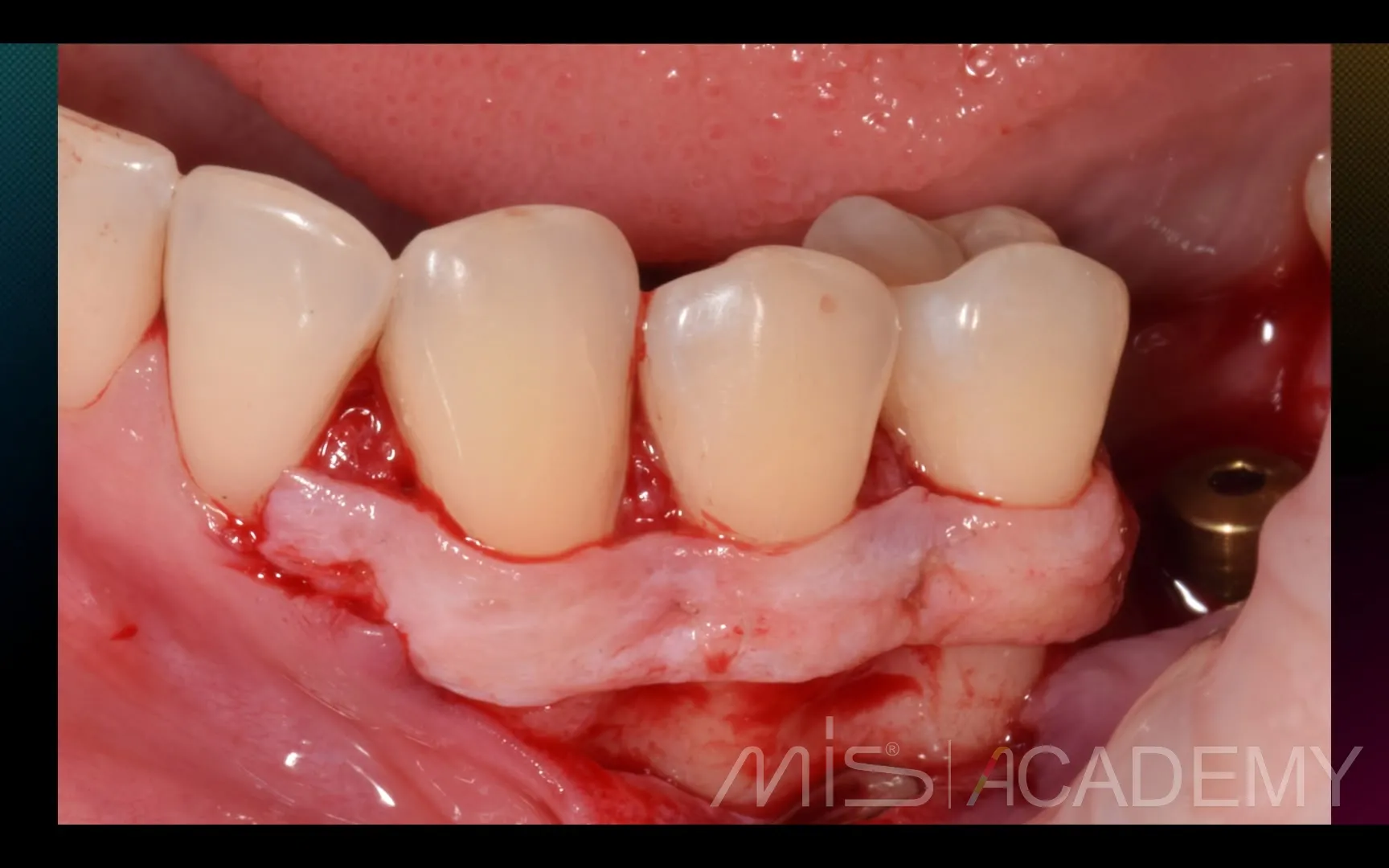
Промежуточный результат клинического кейса одномоментного закрытия рецессий и установки имплантата MIS C1 с CONNECT абатментом.

Промежуточный результат клинического кейса одномоментного закрытия рецессий и установки имплантата MIS C1 с CONNECT абатментом.

Поделиться | Обсудить