Промежуточный этап тотальной реабилитации.
Сделано:
1. Снятие несостоятельных реставраций на н/ч
2. MockUp на нижние передние зубы, новые временные протезы на имплантаты, установленные 7 лет назад, на новой высоте прикуса.
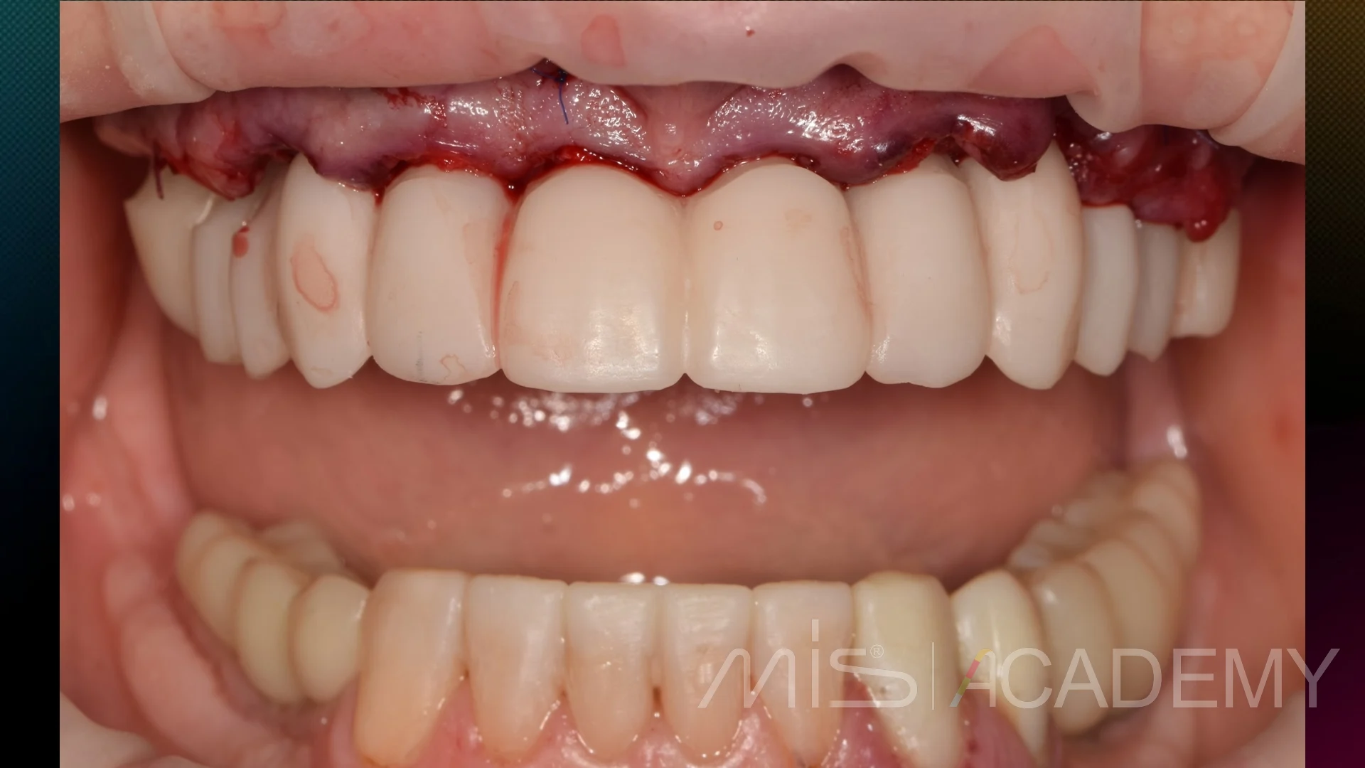
3. Удаление зубов на в/ч, установка 6 имплантатов MIS C1 по навигационному шаблону, мультиюнит абатменты, CONNECT абатменты в переднем отделе, в лунки — bio-oss, стимул-осс, пластика десны.
4. Временный протез в день операции.
5. Контрольные осмотры на 4 и 14 сутки.
Хирург-имплантолог: Ковалева Татьяна
Врач-ортопед: Валентин Захаров
Цифровое планирование: Анатолий Голубых
#mis #misC1 #mu #connect #total #biooss #нхш #ТатьянаКовалева

