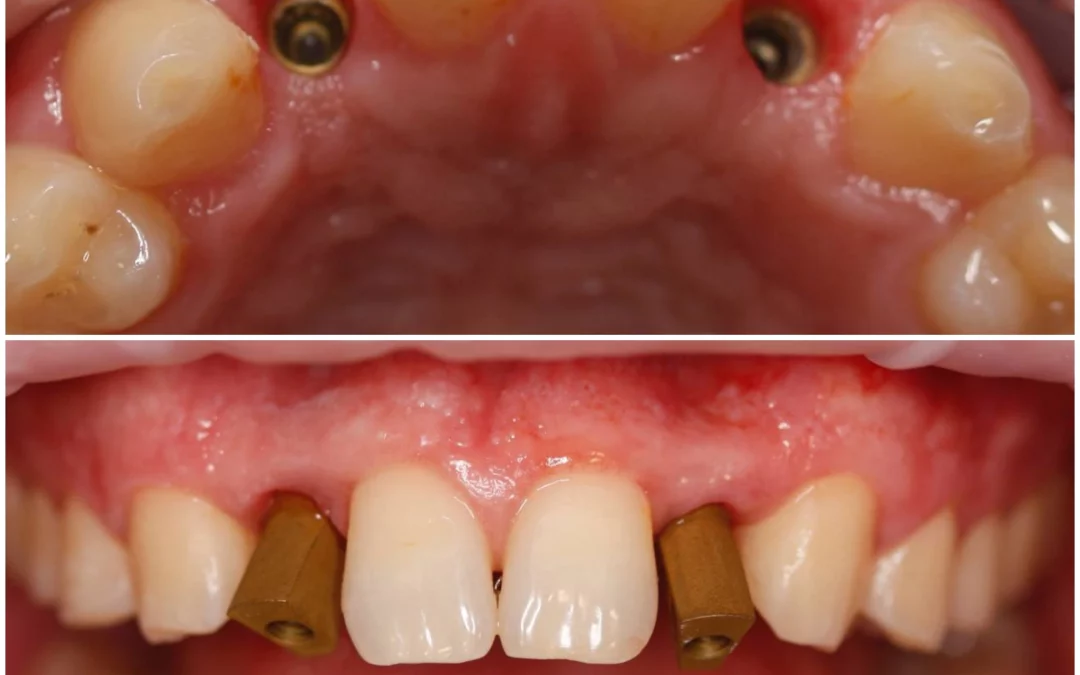
Реферативный пациент, удаление несостоятельных имплантов. Горизонтальная атрофия фронтальный отдел. - НКР ауто + ксено. - Создание барьера - титановая пластина. - Открытие через 6 месяцев. - Импланты MIS C1....
СПЕЦИАЛИСТЫ
Юрий Гузеев | Клинический кейс YG-132
История одного премоляра .. #mis #connect #ЮрийГузеев
Юрий Гузеев | Клинический кейс YG-131
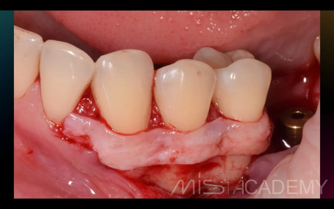
Восстановление объема и прикрепления. Работа с мягкими тканями в два этапа: 1 - Фиксация трансплантата к вестибулярному лоскуту. 2 - АСЛ. - Имплантаты MIS C1. - Connect. - Multi...
Юрий Гузеев | Клинический кейс YG-130
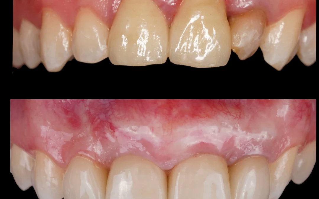
Подвижность зубов, периодонтальные изменения. - Удаление, имплантация MIS C1 . - Два трансплантата. - Коронально смещенный лоскут для коррекция зенитов. - Connect абатмент + временные...
Юрий Гузеев | Клинический кейс YG-129
- НКР + ОСЛ. - Ламины от Остеобиол + микс ауто и ксено. - Раскрытие через 7 месяцев. - Импланты MIS C1. #mis #misC1 #нкр #осл...
Тимур Магдиев | Клинический кейс TM-85
- Одномоментная имплантация 24. - Закрытый синус лифт 26. - Расщепленный лоскут вестибулярно, пластика мягких тканей соединительно тканным трансплантатом с бугра. - Протезирование: Сергей...
Тимур Магдиев | Клинический кейс TM-84
Одномоментная имплантация: - Установка имплантатов Mis C1. - Connect. - IDR. - Протезирование циркониевыми коронками. Врач Ортопед Баландин А.В. #mis #misC1 #connect #idr...
Татьяна Ковалева | Клинический кейс TK-74
Интересный клинический случай с восстановлением костной ткани язычно в области зуба 4.1. 5 месяцев назад пациентка обратилась с жалобами на боль при накусывании на 4.1 зуб и отёк с язычной стороны. Проведено:...
Татьяна Ковалева | Клинический кейс TK-73
Отсроченная имплантация в области зуба 4.6, работа с мягкими тканями. Проведено: 1. Имплантация MIS C1 в области 4.6 зуба, ФДМ, пластика десны с обеих сторон альвеолярного гребня (СТТ из бугра). 2. Через 5...
Татьяна Ковалева | Клинический кейс TK-72
- Установка имплантатов MIS C1 по одномоментному (позиция 4.5 зуба) и отсроченному протоколу (позиция 4.6 зуба). - Работа с мягкими тканями вокруг имплантатов. - Хирургическое закрытие рецессий на зубах 4.3,...
Татьяна Ковалева | Клинический кейс TK-71
Промежуточный результат клинического кейса одномоментного закрытия рецессий и установки имплантата MIS C1 с CONNECT абатментом. Продолжение следует. #mis #misC1 #connect...
Татьяна Ковалева | Клинический кейс TK-70
Промежуточный этап лечения пациента: - Удаление корней 2.4, 2.5. - Установка имплантатов MIS C1. - CONNECT абатменты. - Bio-oss, стимул-осс. - Временные коронки через 6 месяцев. - Результат формирования...
Станислав Шульман | Клинический кейс STS-20
Пациент 21 год. Ортодонтическое лечение закончил в 16 лет. В этот период пользовался частичный съемным протезом. - Планирование имплантации и дизайн шаблона MGuide в Msoft. - Имплантаты MIS C1 3.3-13 в...
Ренат Ризванов | Клинический кейс RR-42
- Одномоментная имплантация MIS С1. - Индивидуальный Zr формирователь десны на Connect абатменте Снятие швов через 10...
Ренат Ризванов | Клинический кейс RR-41
Тотальная реабилитация на верхней челюсти. Планирование и техническая часть: Игорь Лёвушкин Ортопед: Алексей Калашников В подобных случаях мы планируем накостные, либо гибридные шаблоны и преимущественно из...
Ренат Ризванов | Клинический кейс RR-40
Небольшой рекол в 1 год после имплантации в область адентии двоек на верхней челюсти. - Имплантация MIS C1 узкая платформа. - Connect абатменты. #mis #misC1 #connect...
Махмуд Мазлум | Клинический кейс MM-13
Тотальная реабилитация, одномоментная имплантация + установка 6 имплантатов 1. Планировка в программе Realguide, изготовлены хирургические шаблоны: первый- для проведения разреза небно от имплантатов, чтобы...
Махмуд Мазлум | Клинический кейс MM-12
Удаление 4.4, 4.6: - Одномоментная установка имплантатов MIS C1по шаблону в проекции 4.4,4.7. - Multi unit , connect abatment. - Балка, внутриротовая сварка. - Пластика десны. - Заживляющие зубы. - Снятие...
Махмуд Мазлум | Клинический кейс MM-11
Пациентка обратилась по поводу отсутствия зуба 2.6. Было принято решение провести ОСЛ и установку имплантата через 6 месяцев - На ОСЛ решили добавить колопол и PRF без костного материала. - Через 3 месяца мы...
Махмуд Мазлум | Клинический кейс MM-10
На верхней челюсти установлены три имплантата MIS C1. - Первый имплантат установлен под наклоном в обход гайморовой пазухи (free-hands), использован угловой multi unit. - Второй - в прямой проекции с...
Юрий Гузеев | Клинический кейс YG-133
Реферативный пациент, удаление несостоятельных имплантов. Горизонтальная атрофия фронтальный отдел. - НКР ауто + ксено. - Создание барьера - титановая пластина. - Открытие через 6 месяцев. - Импланты MIS C1....
Юрий Гузеев | Клинический кейс YG-132
История одного премоляра .. #mis #connect #ЮрийГузеев
Юрий Гузеев | Клинический кейс YG-131
Восстановление объема и прикрепления. Работа с мягкими тканями в два этапа: 1 - Фиксация трансплантата к вестибулярному лоскуту. 2 - АСЛ. - Имплантаты MIS C1. - Connect. - Multi...
Юрий Гузеев | Клинический кейс YG-130
Подвижность зубов, периодонтальные изменения. - Удаление, имплантация MIS C1 . - Два трансплантата. - Коронально смещенный лоскут для коррекция зенитов. - Connect абатмент + временные...
Юрий Гузеев | Клинический кейс YG-129
- НКР + ОСЛ. - Ламины от Остеобиол + микс ауто и ксено. - Раскрытие через 7 месяцев. - Импланты MIS C1. #mis #misC1 #нкр #осл...
Тимур Магдиев | Клинический кейс TM-85
- Одномоментная имплантация 24. - Закрытый синус лифт 26. - Расщепленный лоскут вестибулярно, пластика мягких тканей соединительно тканным трансплантатом с бугра. - Протезирование: Сергей...
Тимур Магдиев | Клинический кейс TM-84
Одномоментная имплантация: - Установка имплантатов Mis C1. - Connect. - IDR. - Протезирование циркониевыми коронками. Врач Ортопед Баландин А.В. #mis #misC1 #connect #idr...
Татьяна Ковалева | Клинический кейс TK-74
Интересный клинический случай с восстановлением костной ткани язычно в области зуба 4.1. 5 месяцев назад пациентка обратилась с жалобами на боль при накусывании на 4.1 зуб и отёк с язычной стороны. Проведено:...
Татьяна Ковалева | Клинический кейс TK-73
Отсроченная имплантация в области зуба 4.6, работа с мягкими тканями. Проведено: 1. Имплантация MIS C1 в области 4.6 зуба, ФДМ, пластика десны с обеих сторон альвеолярного гребня (СТТ из бугра). 2. Через 5...
Татьяна Ковалева | Клинический кейс TK-72
- Установка имплантатов MIS C1 по одномоментному (позиция 4.5 зуба) и отсроченному протоколу (позиция 4.6 зуба). - Работа с мягкими тканями вокруг имплантатов. - Хирургическое закрытие рецессий на зубах 4.3,...
Татьяна Ковалева | Клинический кейс TK-71
Промежуточный результат клинического кейса одномоментного закрытия рецессий и установки имплантата MIS C1 с CONNECT абатментом. Продолжение следует. #mis #misC1 #connect...
Татьяна Ковалева | Клинический кейс TK-70
Промежуточный этап лечения пациента: - Удаление корней 2.4, 2.5. - Установка имплантатов MIS C1. - CONNECT абатменты. - Bio-oss, стимул-осс. - Временные коронки через 6 месяцев. - Результат формирования...
Станислав Шульман | Клинический кейс STS-20
Пациент 21 год. Ортодонтическое лечение закончил в 16 лет. В этот период пользовался частичный съемным протезом. - Планирование имплантации и дизайн шаблона MGuide в Msoft. - Имплантаты MIS C1 3.3-13 в...
Ренат Ризванов | Клинический кейс RR-42
- Одномоментная имплантация MIS С1. - Индивидуальный Zr формирователь десны на Connect абатменте Снятие швов через 10...
Ренат Ризванов | Клинический кейс RR-41
Тотальная реабилитация на верхней челюсти. Планирование и техническая часть: Игорь Лёвушкин Ортопед: Алексей Калашников В подобных случаях мы планируем накостные, либо гибридные шаблоны и преимущественно из...
Ренат Ризванов | Клинический кейс RR-40
Небольшой рекол в 1 год после имплантации в область адентии двоек на верхней челюсти. - Имплантация MIS C1 узкая платформа. - Connect абатменты. #mis #misC1 #connect...
Махмуд Мазлум | Клинический кейс MM-13
Тотальная реабилитация, одномоментная имплантация + установка 6 имплантатов 1. Планировка в программе Realguide, изготовлены хирургические шаблоны: первый- для проведения разреза небно от имплантатов, чтобы...
Махмуд Мазлум | Клинический кейс MM-12
Удаление 4.4, 4.6: - Одномоментная установка имплантатов MIS C1по шаблону в проекции 4.4,4.7. - Multi unit , connect abatment. - Балка, внутриротовая сварка. - Пластика десны. - Заживляющие зубы. - Снятие...
Махмуд Мазлум | Клинический кейс MM-11
Пациентка обратилась по поводу отсутствия зуба 2.6. Было принято решение провести ОСЛ и установку имплантата через 6 месяцев - На ОСЛ решили добавить колопол и PRF без костного материала. - Через 3 месяца мы...
Махмуд Мазлум | Клинический кейс MM-10
На верхней челюсти установлены три имплантата MIS C1. - Первый имплантат установлен под наклоном в обход гайморовой пазухи (free-hands), использован угловой multi unit. - Второй - в прямой проекции с...
