Когда день начинается не по плану… Обычное утро, спешка - падение. Результат: травма в области центральных резцов. - Удаление зубов 1.1 и 2.1. - Установка 2 имплантов MIS C1. - ССТ с бугра. - Временное...
СПЕЦИАЛИСТЫ
Василий Бочаров | Клинический кейс VB-69
💢 Василий Бочаров г. Владивосток. Продолжение кейса: https://t.me/misrussia/6399 Установили по 4 имплантата на верхней и нижней челюсти и провели немедленную нагрузку металлопластмассовыми конструкциями....
Василий Бочаров | Клинический кейс VB-68
Стандартная работа в области нижней шестерки слева: - Проведена установка имплантата МИС С1 с одномоментной аугментацией ССТ и установкой формирователя десны. - Далее провизорное протезирование и постоянная...
Василий Бочаров | Клинический кейс VB-67
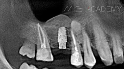
Было проведено: - Удаление зуба 17. - Одномоментная и одноэтапная установка имплантатов MIS С1 в позиции 17 и 16 с закрытым синус лифтингом и мягкотканной аугментацией. - После интеграции доработали профиль...
Аслан Ханчадаров | Клинический кейс AHA-03
💢 Аслан Ханчадаров г. Рязань. - Увеличение зоны прикрепленной слизистой в области ранее установленных имплантов MIS C1, с помощью апикально-смещенного лоскута с использованием СДТ с неба. - Фото 6,7 -4 месяца...
Аслан Ханчадаров | Клинический кейс AHA-02
Устранение включенного дефекта зубного ряда на нижней челюсти, который в ходе лечения стал концевым. - Имплантация 4.6, 4.7 MIS C1. - Профилирование кости. - Трансплантат с бугра под вестибулярный лоскут. -...
Артур Политов | Клинический кейс AP-100
Артур Политов г. Ставрополь. ЧАСТЬ 3 из 3 часть 1: vk.com/misimplants?w=wall-1... часть 2: vk.com/misimplants?w=wall-1... На этапе после интеграции имплантатов на нижней челюсти и созревания мягких тканей...
Артур Политов | Клинический кейс AP-99
Артур Политов г. Ставрополь. ЧАСТЬ 1 из 3 Случай будет в трёх постах, из-за ограничений ВК по количеству фото, в этом рассмотрим в карусели работу в IV квадранте. Диагноз: нарушение соотношения зубных рядов....
Артур Политов | Клинический кейс AP-98
Артур Политов г. Ставрополь. ЧАСТЬ 1 из 3 Случай будет в трёх постах, из-за ограничений ВК по количеству фото, в этом рассмотрим в карусели работу в IV квадранте. Диагноз: нарушение соотношения зубных рядов....
Артур Политов | Клинический кейс AP-97
Тотальная реабилитация на имплантатах Multifix ВЧ на 6, НЧ на 4 MIS C1. Разборные шаблоны из трёх частей: 1. Пластик для позиционирования. 2. Лазерное спекание метал база. 3. ЛС метал со втулками. Финишные...
Артур Политов | Клинический кейс AP-96
Атравматичное удаление зуба 1.1 с использованием системы Benex. Тип лунки — I (интактная). - Выполнена одномоментная установка имплантата MIS C1 3,75 × 13 мм с коннектом 3 мм. Зазор более 2 мм. - Проведена...
Артур Политов | Клинический кейс AP-95
- Проведена имплантация MIS C1 в позициях 1.4, 1.6. - На имплантаты установлены коннект абатменты. - Особенности операции в области 1.6: Выполнена операция транскрестального синус-лифтинга (ТКСЛ). Высота...
Артур Политов | Клинический кейс AP-94
Имплантация MiS C1, 1.6 + ЗСЛ, 4.6. - 1.6 - торк 35 Н/см, установлен PIC абатмент вместо ФДМ. Мягкие ткани рол-техника. - 4.6 - торк 15 Н/см, ввиду кости D4, установлена высокая (3мм) заглушка. - Раскрытие...
Артур Политов | Клинический кейс AP-93
Одномоментная имплантация 2.5, 3.6, 4.6. - Установлены имплантаты MIS C1, коннект абатменты, - На ВЧ вестибулярно - ДСДТ, на НЧ вестибулярно и орально. - В зазоры лунок уложен Bio-Oss S, сверху A-PRF мембраны...
Артур Политов | Клинический кейс AP-92
- НЧ Multifix на 4 MIS C1, - Фронт - коннекты. - Дистально - угловые МЮ 30. - Разборный шаблон с накостной опорой. - Редукция, имплантация, ДСДТ с нёба вестибулярно и орально. - Нагрузка через 7 дней. P/S...
Алексей Черепенников | Клинический кейс AHR-06
Пациент направлен ортопедом на удаление зубов и установку имплантатов. После диагностики решили удалить все зубы во 2 сегменте и установить имплантаты в позиции 21, 23. - Сделан IDR и подшит ССТ и 26 подшит...
Ренат Ризванов | Клинический кейс RR-45
Пациент изначально обратился за костной пластикой, но после полноценного анализа данных и детального планирования мы предложили альтернативное, более рациональное решение. - По хирургическому шаблону...
Ренат Ризванов | Клинический кейс RR-44
Ренат Ризванов г. Нижний Новгород. Комплексная реабилитация пациента 38 лет. В анамнезе неудачное лечение зубов, приведшее к их удалению. В предыдущей клинике удалили все несостоятельные зубы, рекомендовали...
Ренат Ризванов | Клинический кейс RR-43
Ренат Ризванов и Игорь Левушкин г. Нижний Новгород. Реферативный пациент, на момент обращения 74 года. Курит до 2 пачек в день. Выраженные проблемы на обеих челюстях: подвижность зубов, хроническое воспаление...
Татьяна Ковалева | Клинический кейс TK-75
Промежуточный этап тотальной реабилитации. Сделано: 1. Снятие несостоятельных реставраций на н/ч 2. MockUp на нижние передние зубы, новые временные протезы на имплантаты, установленные 7 лет назад, на новой...
Елизавета Елевтерова | Клинический кейс EE-06
Когда день начинается не по плану… Обычное утро, спешка - падение. Результат: травма в области центральных резцов. - Удаление зубов 1.1 и 2.1. - Установка 2 имплантов MIS C1. - ССТ с бугра. - Временное...
Василий Бочаров | Клинический кейс VB-69
💢 Василий Бочаров г. Владивосток. Продолжение кейса: https://t.me/misrussia/6399 Установили по 4 имплантата на верхней и нижней челюсти и провели немедленную нагрузку металлопластмассовыми конструкциями....
Василий Бочаров | Клинический кейс VB-68
Стандартная работа в области нижней шестерки слева: - Проведена установка имплантата МИС С1 с одномоментной аугментацией ССТ и установкой формирователя десны. - Далее провизорное протезирование и постоянная...
Василий Бочаров | Клинический кейс VB-67
Было проведено: - Удаление зуба 17. - Одномоментная и одноэтапная установка имплантатов MIS С1 в позиции 17 и 16 с закрытым синус лифтингом и мягкотканной аугментацией. - После интеграции доработали профиль...
Аслан Ханчадаров | Клинический кейс AHA-03
💢 Аслан Ханчадаров г. Рязань. - Увеличение зоны прикрепленной слизистой в области ранее установленных имплантов MIS C1, с помощью апикально-смещенного лоскута с использованием СДТ с неба. - Фото 6,7 -4 месяца...
Аслан Ханчадаров | Клинический кейс AHA-02
Устранение включенного дефекта зубного ряда на нижней челюсти, который в ходе лечения стал концевым. - Имплантация 4.6, 4.7 MIS C1. - Профилирование кости. - Трансплантат с бугра под вестибулярный лоскут. -...
Артур Политов | Клинический кейс AP-100
Артур Политов г. Ставрополь. ЧАСТЬ 3 из 3 часть 1: vk.com/misimplants?w=wall-1... часть 2: vk.com/misimplants?w=wall-1... На этапе после интеграции имплантатов на нижней челюсти и созревания мягких тканей...
Артур Политов | Клинический кейс AP-99
Артур Политов г. Ставрополь. ЧАСТЬ 1 из 3 Случай будет в трёх постах, из-за ограничений ВК по количеству фото, в этом рассмотрим в карусели работу в IV квадранте. Диагноз: нарушение соотношения зубных рядов....
Артур Политов | Клинический кейс AP-98
Артур Политов г. Ставрополь. ЧАСТЬ 1 из 3 Случай будет в трёх постах, из-за ограничений ВК по количеству фото, в этом рассмотрим в карусели работу в IV квадранте. Диагноз: нарушение соотношения зубных рядов....
Артур Политов | Клинический кейс AP-97
Тотальная реабилитация на имплантатах Multifix ВЧ на 6, НЧ на 4 MIS C1. Разборные шаблоны из трёх частей: 1. Пластик для позиционирования. 2. Лазерное спекание метал база. 3. ЛС метал со втулками. Финишные...
Артур Политов | Клинический кейс AP-96
Атравматичное удаление зуба 1.1 с использованием системы Benex. Тип лунки — I (интактная). - Выполнена одномоментная установка имплантата MIS C1 3,75 × 13 мм с коннектом 3 мм. Зазор более 2 мм. - Проведена...
Артур Политов | Клинический кейс AP-95
- Проведена имплантация MIS C1 в позициях 1.4, 1.6. - На имплантаты установлены коннект абатменты. - Особенности операции в области 1.6: Выполнена операция транскрестального синус-лифтинга (ТКСЛ). Высота...
Артур Политов | Клинический кейс AP-94
Имплантация MiS C1, 1.6 + ЗСЛ, 4.6. - 1.6 - торк 35 Н/см, установлен PIC абатмент вместо ФДМ. Мягкие ткани рол-техника. - 4.6 - торк 15 Н/см, ввиду кости D4, установлена высокая (3мм) заглушка. - Раскрытие...
Артур Политов | Клинический кейс AP-93
Одномоментная имплантация 2.5, 3.6, 4.6. - Установлены имплантаты MIS C1, коннект абатменты, - На ВЧ вестибулярно - ДСДТ, на НЧ вестибулярно и орально. - В зазоры лунок уложен Bio-Oss S, сверху A-PRF мембраны...
Артур Политов | Клинический кейс AP-92
- НЧ Multifix на 4 MIS C1, - Фронт - коннекты. - Дистально - угловые МЮ 30. - Разборный шаблон с накостной опорой. - Редукция, имплантация, ДСДТ с нёба вестибулярно и орально. - Нагрузка через 7 дней. P/S...
Алексей Черепенников | Клинический кейс AHR-06
Пациент направлен ортопедом на удаление зубов и установку имплантатов. После диагностики решили удалить все зубы во 2 сегменте и установить имплантаты в позиции 21, 23. - Сделан IDR и подшит ССТ и 26 подшит...
Ренат Ризванов | Клинический кейс RR-45
Пациент изначально обратился за костной пластикой, но после полноценного анализа данных и детального планирования мы предложили альтернативное, более рациональное решение. - По хирургическому шаблону...
Ренат Ризванов | Клинический кейс RR-44
Ренат Ризванов г. Нижний Новгород. Комплексная реабилитация пациента 38 лет. В анамнезе неудачное лечение зубов, приведшее к их удалению. В предыдущей клинике удалили все несостоятельные зубы, рекомендовали...
Ренат Ризванов | Клинический кейс RR-43
Ренат Ризванов и Игорь Левушкин г. Нижний Новгород. Реферативный пациент, на момент обращения 74 года. Курит до 2 пачек в день. Выраженные проблемы на обеих челюстях: подвижность зубов, хроническое воспаление...
Татьяна Ковалева | Клинический кейс TK-75
Промежуточный этап тотальной реабилитации. Сделано: 1. Снятие несостоятельных реставраций на н/ч 2. MockUp на нижние передние зубы, новые временные протезы на имплантаты, установленные 7 лет назад, на новой...
